犬の精巣腫瘍(精上皮腫、セルトリ細胞腫、間質細胞腫)

病態
精巣から発生する腫瘍で、主に精上皮腫、セルトリ細胞腫、間質細胞腫の3種類があります。
去勢をしていないわんちゃんの約6〜27%に発生し、中高齢(平均10歳)で認められます。
また、停留精巣(精巣が陰嚢内になく、鼠径部あるいは腹腔内に留まった状態)の場合は精巣腫瘍がさらに発生しやすくなります。
間質細胞腫の転移は非常にまれですが、精上皮腫やセルトリ細胞腫は約15%が転移します(リンパ節、肺など)。
症状
精巣腫瘍は健康診断やご家族が精巣の腫れに気づいて見つかる場合や他の手術の際に同時に去勢手術をすることでたまたま見つかる場合もあります。これらの場合は、一般的に症状は認められません。
しかし、腹腔内の停留精巣の場合や精巣の腫れに気づいてもそのまま経過をみていると、精巣腫瘍から分泌されるホルモン(エストロジェン)により、脱毛や雌性化徴候(包皮下垂、乳房発達、乳汁漏出など)、再生不良性貧血などがみられる場合があります(特にセルトリ細胞腫でみられやすいです)。再生不良性貧血が認められる場合は、骨髄が機能しなくなることで生命に関わる危険性があります。
診断
精巣腫瘍の診断は陰嚢内や鼠径部の場合は見た目で、腹腔内の場合は画像検査で診断できますが、上記の3種類のどの精巣腫瘍かの診断には摘出後の病理組織検査が必要となります。

精巣腫瘍の写真(赤矢印:精巣腫瘍、青矢印:正常な精巣)(病理組織検査の結果、間質細胞腫でした)
ステージングおよび併発疾患の評価
精巣腫瘍が疑わしい場合、がんの大きさや広がり、リンパ節転移、遠隔転移(肺など)の評価を行います。これをステージングといいます。
同時に併発疾患がないかどうかも評価します。
これらの評価には以下の検査を組み合わせて行い、評価を基に治療方針を決定します。
・血液検査:再生不良性貧血(白血球や赤血球、血小板)の評価、併発疾患(腎臓病、肝臓病など)の評価
・尿検査:併発疾患(腎臓病など)の評価
・レントゲン検査:リンパ節転移、遠隔転移の評価
・超音波検査:リンパ節転移、遠隔転移の評価
・CT検査:がんの大きさや広がり、リンパ節転移、遠隔転移の評価
※CT検査は必須ではありませんが、腫瘍が大きい場合やお腹の中に腫瘍がある場合、レントゲン検査や超音波検査で転移が疑われる場合は必須の検査です。

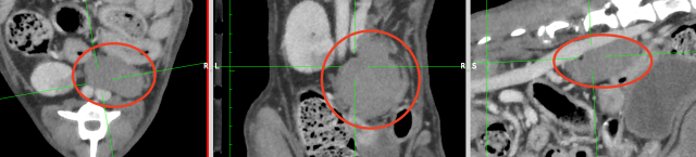
腹腔内停留精巣腫瘍のCT画像(赤丸)
治療
がんの治療には主に「根治治療(積極的治療)」と「緩和治療」があります。
「根治治療(積極的治療)」とはがんと闘う治療であり、がんをできるだけ体から取り除くことを目的とした治療です。根治治療(積極的治療)は長期生存(一般的には年単位)を目的とした治療であり、がんを治すことができる場合もあります。一方、非常に悪性度の高いがんでは、根治治療(積極的治療)を行ったとしても数カ月程度で亡くなってしまう場合もあります。根治治療(積極的治療)では主に「手術」、「放射線治療」、「抗がん剤治療・分子標的治療」を単独あるいは組み合わせて行います。
一方、「緩和治療」とは、がんによる苦痛を和らげることを目的とした治療です。緩和治療は長期生存を目的とした治療ではなく、たとえ短期間(一般的には月単位)であってもその期間の動物の生活の質を改善するために行う治療です。緩和治療では主に「痛みの治療」、「栄養治療」、「症状を和らげる治療」を単独あるいは組み合わせて行います。
・精巣腫瘍の根治治療(積極的治療)
根治治療として手術(精巣とリンパ節転移が疑わしければリンパ節の切除)が適応となります。
また、手術後に遠隔転移が見られた場合は放射線治療や抗がん剤、分子標的薬などが適応となる場合があります。
・精巣腫瘍の緩和治療
腫瘍がすでに遠隔転移している場合、根治治療は適応となりません。
その場合は、痛みの緩和や腫瘍の進行を遅らせる治療(抗がん剤や分子標的治療など)が選択されます。
しかし、痛みなどで動物の生活の質が落ちるようであれば、遠隔転移の場所によっては転移があったとしても緩和治療として手術や放射線治療が適応となる場合もあります。
予後
精巣腫瘍の多くは転移がみられないので、手術により腫瘍を治すことができ、予後はいいです。
一方、肺などに転移している場合や再生不良性貧血が見られる場合の予後は悪い可能性があります。
動物病院の先生方へ
当院は、各専門診療科を備え、幅広い高度医療を提供しております。
貴院からの症例紹介や症例相談も随時受け付けておりますので、お気軽にご相談ください。
詳細は下記のリンクをご参照ください。
https://www.kamogawa-ac.jp/introduction/
飼い主様へ
当院では、獣医腫瘍科認定医による腫瘍科専門外来を行っております。
詳細は下記のリンクをご参照ください。

