犬の肝臓腫瘍(胆管癌)

病態
胆管癌は肝臓の胆管上皮細胞から発生する悪性腫瘍で、肝臓に発生する悪性腫瘍の中では、肝細胞癌に次いで2番目に多いですが、その発生は肝細胞癌と比較するとまれです。
主に中高齢で発生します。
犬には6つの肝葉(外側左葉、内側左葉、方形葉、内側右葉、外側右葉、尾状葉)があり、胆管癌はこのうち1つの肝葉のみに発生することもありますが、転移率は約60%〜90%と高く、診断時にはその他の肝葉やリンパ節、肺、腹膜などさまざまな部位に転移していることも多いです。
症状
健康診断の際やその他の病気の検査の際に見つかることが多いですが、食欲低下や嘔吐などが認められることもあります。
また、黄疸が認められることもあります。
診断
針生検(細い針をさして細胞を採取する検査)をすることで肝細胞癌と区別することが可能です。
しかし、肝臓には他の癌が転移することもあり、転移した癌と胆管癌の区別は難しく、これらとの区別には手術で切除し、病理組織検査を行う必要があります。
ステージングおよび併発疾患の確認
胆管癌が疑わしい場合、がんの大きさや広がり、リンパ節転移、遠隔転移(他の肝葉や肺などへの転移)の評価を行います。これをステージングといいます。
同時に併発疾患がないかどうかも評価します。
これらの評価には以下の検査を組み合わせて行い、評価を基に治療方針を決定します。
・血液検査:併発疾患(腎臓病、肝臓病など)の評価
・尿検査:併発疾患(腎臓病など)の評価
・レントゲン検査:がんの大きさ、遠隔転移(肺など)の評価
・腹部超音波検査:がんの大きさや広がり、リンパ節転移、遠隔転移(他の肝葉や腹膜など)の評価
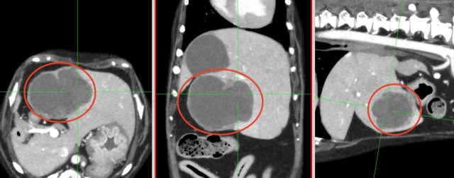
・CT検査:がんの大きさや広がり、リンパ節転移、遠隔転移の評価
※CT検査はより綿密な治療方針を決定するうえで必須の検査です

胆管癌のCT画像(赤丸)
治療
がんの治療には主に「根治治療(積極的治療)」と「緩和治療」があります。
「根治治療(積極的治療)」とはがんと闘う治療であり、がんをできるだけ体から取り除くことを目的とした治療です。根治治療(積極的治療)は長期生存(一般的には年単位)を目的とした治療であり、がんを治すことができる場合もあります。一方、非常に悪性度の高いがんでは、根治治療(積極的治療)を行ったとしても数カ月程度で亡くなってしまう場合もあります。根治治療(積極的治療)では主に「手術」、「放射線治療」、「抗がん剤治療・分子標的治療」を単独あるいは組み合わせて行います。
一方、「緩和治療」とは、がんによる苦痛を和らげることを目的とした治療です。緩和治療は長期生存を目的とした治療ではなく、たとえ短期間(一般的には月単位)であってもその期間の動物の生活の質を改善するために行う治療です。緩和治療では主に「痛みの治療」、「栄養治療」、「症状を和らげる治療」を単独あるいは組み合わせて行います。
・胆管癌の根治治療(積極的治療)
根治治療として手術が適応となります。
手術後に、抗がん剤や分子標的薬を使用することもありますが、その効果はよく分かっていません。
・胆管癌の緩和治療
腫瘍が転移している場合、根治治療は適応となりません。
その場合は、痛みの緩和や腫瘍の進行を遅らせる治療(分子標的薬など)が選択されます。
また、痛みなどで動物の生活の質が落ちるようであれば、転移があったとしても緩和治療として手術が適応となる場合もあります。
当院では、状況に応じて、免疫療法、鎮痛剤などを組み合わせて行うこともあります。
予後
犬の胆管癌に関する報告は非常に少なく、予後は分かっていない部分もありますが、一般的に転移率が高く、多くが6ヶ月以内に亡くなってしまいます。
一方、2022年に発表された報告では、転移のない胆管癌で手術が行われ、完全に切除できた場合の生存期間中央値は894日であり、かなり予後良好な結果でした。
例数が6例と少ないですが、今後症例数が増えれば胆管癌も手術で救えるようになるかもしれません。
動物病院の先生方へ
当院は、各専門診療科を備え、幅広い高度医療を提供しております。
貴院からの症例紹介や症例相談も随時受け付けておりますので、お気軽にご相談ください。
詳細は下記のリンクをご参照ください。
https://www.kamogawa-ac.jp/introduction/
飼い主様へ
当院では、獣医腫瘍科認定医による腫瘍科専門外来を行っております。
詳細は下記のリンクをご参照ください。

