猫の肺吸虫症

病態
肺吸虫の生息している地域において、猫がサワガニを摂取することによって感染する寄生虫性疾患です。
猫に感染した肺吸虫が肺へ到達して病変を形成し、咳や呼吸困難といった呼吸器症状を引き起こします。
症状
感染後、初期は特に無症状で経過し、その後軽度の発咳や血痰などの症状が見られます。
ウイルス感染などを合併した場合には呼吸器症状が重篤化し、呼吸困難が見られることがあります。
診断
飼育環境(外で暮らしたことがある、外に出るなど)や症状の経過の問診を行います。
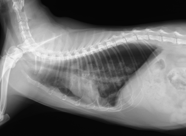
また胸部のレントゲンで写真のような肺の腫瘤性病変を確認し、糞便および気道分泌物中からの虫卵の検出で確定診断を行います。
レントゲンで見られるリング状陰影は、肺吸虫を包む虫嚢であり本疾患に特徴的な所見となります。

治療
プラジクアンテルと呼ばれる駆虫薬の投与が基本となります。
呼吸器症状が重度の場合、細菌やウイルスの二次感染が起こっている可能性があるため、抗菌薬の投与も併せて行うことが多いです。
肺吸虫症はその症状やレントゲン所見から、ウイルス感染症や肺腫瘍などと間違われることもしばしばある疾患です。
外に出る、または外から保護したなどの経歴があり、長期間の抗生剤投与などの治療に反応しない呼吸器症状に悩む猫ちゃんは、一度ご相談ください。

