犬
生殖器科/小児科(成長期)
犬の帝王切開

| 動物 | 犬 |
|---|---|
| 種類 | ポメラニアン |
| 性別 | 雌 |
| 年齢 | 三歳 |
| 地域 | 京都市左京区 |
| 症状/病態 | 妊娠 |
| 考えられる病気 | 難産(陣痛微弱、産道狭窄、子宮捻転、過大胎児、胎位異常など) |
今回は、妊娠中のわんちゃんに対して「計画的帝王切開」を実施した症例をご紹介します。
犬は基本的に難産になる確率が低く、90%以上が自然分娩で無事に出産できるといわれています。しかし、以下のような場合には難産になるリスクが高くなります。
・短頭種(フレンチブルドッグ、シーズーなど)
・胎子(赤ちゃん)の数が少なく、1頭1頭が大きく育ちやすい場合
・高齢犬
・小型犬
「難産」とは、自然な力だけでは出産が難しく、何らかの介助が必要な状態のことを指します。治療が遅れると、お腹の中の赤ちゃんが亡くなってしまうこともあります。
今回のわんちゃんは、ご家族が以前に同居犬で難産を経験し、治療が間に合わず赤ちゃんを亡くしてしまったご経験がありました。そのため、今回は万全を期して「計画的な帝王切開」をご希望され、実施することとなりました。
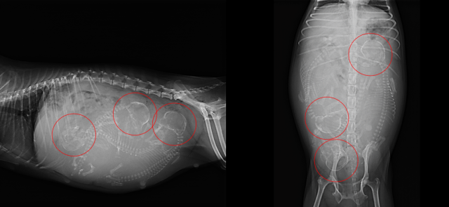
事前にレントゲン検査を行い、お腹の中の胎子の数を確認します。

🔴赤丸が胎子の頭を示しています。今回は3頭の胎子が確認できました。
帝王切開を行う場合も、できるだけ自然分娩の兆候が出てから実施した方が、赤ちゃんの「蘇生率(生まれてから元気に呼吸を始める確率)」が高くなるとされています。
犬の妊娠期間は平均63日(一般的には58〜65日)です。出産の約10時間前には、直腸の体温が1〜1.5℃ほど下がることが多いため、分娩のタイミングを予測する目安になります。
ご家族には出産予定日の10日ほど前から、わんちゃんの直腸温を定期的に測定していただきました。体温の低下が確認されたため、計画通りに帝王切開を実施しました。
手術で取り上げた胎子は、生まれた直後は自力で呼吸ができていませんでした。そこで、すぐに以下のような「蘇生処置」を行います。
◆口・鼻・気道内にある羊水を丁寧に除去
◆タオルで背中を擦って呼吸を促す
◆必要に応じて呼吸を促す薬を使用
今回は難産になる前に手術を行えたことで、胎子たちは弱っておらず、全員が無事に自力で呼吸を始めてくれました。
母犬の麻酔からの回復もスムーズで、術後1〜2時間ほどで初乳を飲むこともできました。

その後も赤ちゃんたちは元気に育っています。

当院では新生児の蘇生率を高めるために、仔犬・仔猫専用の人工呼吸器も導入しています。
交配・妊娠・出産に関するお悩みや不安がある方は、どうぞお気軽にご相談ください。

