犬
血尿、尿が出ない/頻尿
腫瘍科(ガン)/外科
犬の膀胱移行上皮癌(膀胱部分切除)

| 動物 | 犬 |
|---|---|
| 種類 | ミニチュア・ダックスフンド |
| 性別 | 去勢雄 |
| 年齢 | 12歳 |
| 地域 | 京都市左京区 |
| 症状/病態 | 血尿、頻尿 |
| 考えられる病気 | 膀胱炎、膀胱結石、膀胱のしこり(移行上皮癌、ポリープ、血腫など)など |
血尿と頻尿の症状がみられるとのことで来院されました。
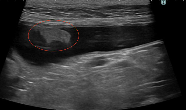
レントゲン検査とエコー検査を実施したところ、膀胱にしこりが認められ(下のエコー画像の赤丸)、検査の結果、移行上皮癌と診断されました。

膀胱にできる移行上皮癌は主に膀胱三角部という尿管や尿道が近い位置にできる場合が多く、その場合の手術では膀胱を全部摘出する必要があります。
しかし、このわんちゃんの移行上皮癌は尿管や尿道から離れた位置にできていたため、膀胱を部分的に摘出する手術が可能でした。その旨をご家族に説明し、手術を希望されたので手術を実施することとしました。
以下、手術の写真となります。苦手な方はご注意ください。

お腹を開け、膀胱周囲にガーゼを敷き詰め(膀胱移行上皮癌は、播種といって尿がお腹の中に漏れ出るとそこに癌が発生する可能性があるため、尿を漏らさないように細心の注意を払う必要があります)、エコー検査で腫瘍の位置を再確認しました(青丸が腫瘍が存在する位置です)。

腫瘍から1cmほど離れた正常な膀胱に切開を加え、腫瘍を触らないように膀胱を切除しました(青丸が腫瘍です)。

切除した部分の膀胱を縫合し、手術終了です。
手術後の状態も悪くなく、手術後4日目で退院し、手術後2週間経ったころに血尿も頻尿も改善しました。
病理診断は移行上皮癌であり、周囲に広がっている様子もなく、完全切除できていました。
しかし、手術前の遺伝子変異検査で異常が認められており、今後再発や転移する可能性もあるため、分子標的薬と消炎鎮痛剤による治療を開始しています。
動物病院の先生方へ
当院は、各専門診療科を備え、幅広い高度医療を提供しております。
貴院からの症例紹介や症例相談も随時受け付けておりますので、お気軽にご相談ください。
詳細は下記のリンクをご参照ください。
https://www.kamogawa-ac.jp/introduction/
飼い主様へ
当院では、獣医腫瘍科認定医による腫瘍科専門外来を行っております。
詳細は下記のリンクをご参照ください。

