猫
血尿、尿が出ない
泌尿器科
猫の尿道閉塞

| 動物 | 猫 |
|---|---|
| 種類 | 雑種 |
| 性別 | 去勢済みオス |
| 年齢 | 5歳 |
| 地域 | 京都市北区 |
| 症状/病態 | 尿が出ない |
| 考えられる病気 | 尿路閉塞、膀胱炎(結石、栓子、異物、腫瘍など) |
昨日の朝に尿をしてから尿が出ていないとのことで来院されました。
何度もトイレに行き排尿のポーズをするが出ないとのことでした。
触診すると多量の尿が膀胱内に溜まっているのが触知できました。
血液検査では幸い腎数値の上昇やミネラルバランスの乱れは見られませんでしたので、速やかに尿路閉塞解除の処置を行うことになりました。
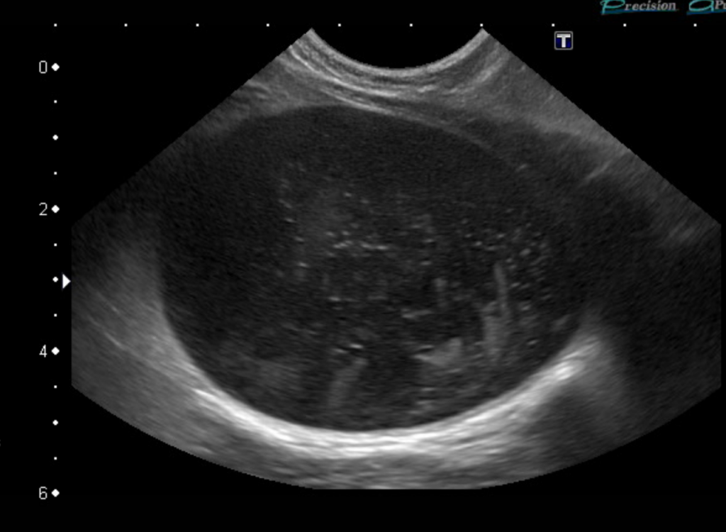
膀胱のエコー画像です。膀胱内に明らかな結石や腫瘍は見られませんが、膀胱内に細かい砂状構造物が多数見られます(白い点々)。
これらが集まって尿道を塞いでいると予想されました。

陰茎の先から尿道カテーテルを膀胱まで挿入し、膀胱内に貯留している尿を抜きました。
さらにそのまま生理食塩水による膀胱内洗浄を行い、皮下点滴と痛み止め、炎症止め、抗生剤の注射をして処置を終了しました。
この猫ちゃんの場合は、数日間の皮下点滴と、下部尿路疾患に配慮したフードへの変更で経過は良好です。
※再閉塞を繰り返す場合は、会陰尿道瘻と呼ばれる手術を行う必要があります。
愛猫のトイレのチェックは欠かさず行いましょう!

