犬
元気がない、ぐったり/食欲がない/呼吸が荒い(苦しそう)
呼吸器科
誤嚥性肺炎

| 動物 | 犬 |
|---|---|
| 種類 | ミニチュア・ダックス・フント |
| 性別 | 雄 |
| 年齢 | 4歳 |
| 地域 | 宇治市 |
| 症状/病態 | 元気低下、呼吸が早い |
| 考えられる病気 | 呼吸器疾患(肺炎・気管支炎、肺水腫、気管虚脱、気管支喘息、など) |
🐾呼吸が苦しそうなワンちゃんが来院されました
前日の夜から「元気がない」「呼吸が苦しそう」といった症状が見られるワンちゃんが来院されました。検査の結果、緊急性の高い「誤嚥性肺炎」であることが分かりました。
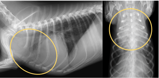
🔍 画像検査で見えた「肺炎」のサイン
レントゲン検査: 肺の前葉〜中葉の腹側(胸の下側)が白く写っていました。これは、重力の影響で誤嚥した内容物が溜まりやすい典型的な部位です。

超音波検査(肺エコー):
B-line: 肺に水(滲出液)が溜まっていることを示す高輝度の線(🟦青い矢印)
shred sign: 肺が炎症で固まり、境界がギザギザに見える所見(🟥赤い矢印)

- 🧪血液検査: 炎症の強さを示す「白血球数」と「CRP(C反応性蛋白)」が著しく上昇していました。
🐱診断:誤嚥性肺炎
誤嚥性肺炎は、胃の内容物や口の中の細菌、異物などが誤って気道に入り、肺で強い炎症を起こす病気です。
「ついさっきまで元気だったのに、数時間で命に関わる」こともある、非常に進行の早い緊急疾患です。
🩺治療内容
呼吸状態が危険なレベルであったため、すぐに入院して集中治療を開始しました。
- 抗生剤の投与:細菌感染の二次被害を最小限に抑えるため、エビデンスに基づいた適切な抗生剤を選択し、投与しました。
- 抗炎症療法:肺の過剰な炎症反応(サイトカインストームなど)を抑え、肺組織へのダメージを軽減させます。
- 酸素療法(ICU管理):肺での酸素交換がスムーズにできない「低酸素血症」を改善するため、高濃度酸素ケージ(ICU)内で呼吸のサポートを行いました。
🏥治療の経過と回復
入院治療の結果、幸いにも白血球数やCRP値は正常化し、レントゲン上の白い影も消失しました。酸素がなくても自力で安定して呼吸ができるようになったため、無事に退院となりました

🐾誤嚥性肺炎は早期発見・治療が鍵です
誤嚥性肺炎は、「どれだけ早く治療を始められるか」が生存率を左右します。
- 食事の後にむせることが増えた
- 急に呼吸が速くなった(1分間に40回以上が続く場合は要注意)
- 急にぐったりして動きたがらない
などの症状が出た場合は注意が必要です。
命に関わる危険な病気ですが、早期に発見し、治療を行うことで回復が見込めます。
少しでも気になる変化があれば、迷わずすぐにご相談ください。

