犬
元気がない、ぐったり/嘔吐・吐出
消化器科(腸の病気・肝臓の病気)/外科
誤飲・誤食

| 動物 | 犬 |
|---|---|
| 種類 | ワイマラナー |
| 性別 | 去勢済み 雄 |
| 年齢 | 6歳 |
| 地域 | 京都市 |
| 症状/病態 | 吐出、嘔吐 |
| 考えられる病気 | 食道炎、胃炎、異物による腸閉塞、膵炎など |
1週間前に食べた化粧用パフを吐き出してから、嘔吐が続いている、とのことで来院。
血液検査にて、大きな異常なし。
出てきたパフがかなり大きなものであったため、食道炎と仮診断し、制吐剤、潰瘍治療薬などで治療を開始。
2日後に、より嘔吐が酷くなって、元気が無くなってきたとのことで来院。
腹部超音波検査を実施したところ、胃と十二指腸の拡張を確認した。
十二指腸

胃

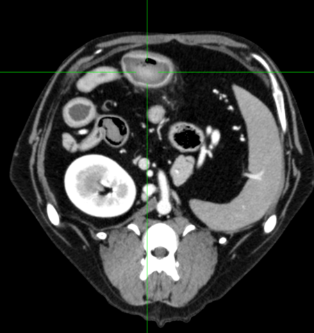
精査のため、CT検査を実施。
空腸近位部に35 mm程の構造物を確認。
それより近位で拡張、液体貯留、粘膜の不整を確認。
それより遠位では異常なし。



また右肺中葉全域と左肺前葉腹側の一部が無気肺になっていた。

以上の結果から、異物誤飲による腸閉塞、またそれによる嘔吐・吐出により、誤嚥性肺炎を引き起こしていると診断した。
すぐに開腹手術を実施。
開腹してすぐに、腸内異物を確認。

腸を切開し、
異物を取り出して、腸を縫合した。



数日後、無事に退院した。

