犬
痒がる、皮膚が赤い
皮膚科・耳科
皺壁性皮膚炎

| 動物 | 犬 |
|---|---|
| 種類 | ボストンテリア |
| 性別 | オス |
| 年齢 | 3歳 |
| 地域 | 京都市北区 |
| 症状/病態 | 鼻の横のシワにかさぶた、赤みがある |
| 考えられる病気 | 皺壁性皮膚炎 |
鼻の横のシワの部分にかさぶたができて、赤みがある、との事で来院。

シワの部分が湿っており、カサブタと赤みがあった。
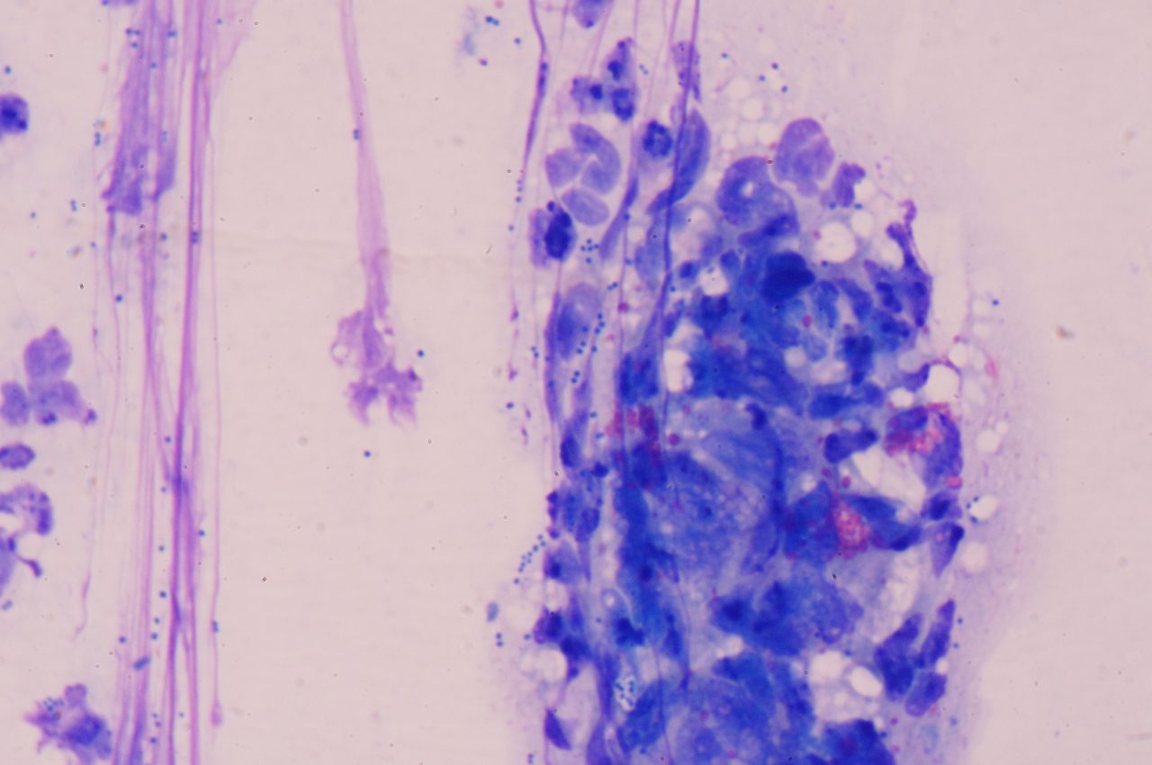
シワの部分のスタンプ検査にて、球菌と変性好中球を確認。

細菌感染を伴った、皺壁性皮膚炎と診断しました。
病院にて抗生剤を注射し、家では外用薬の塗布を指示しました。
約2週間後、赤みも引いて、かさぶたも無くなりました。



