膿皮症(細菌性皮膚炎)

病態
膿皮症は皮膚において、細菌が増殖することによって起こる疾患であり、アトピー性皮膚炎、甲状腺機能低下症、脂漏症などの様々な疾患に続いてよく起こります。
膿皮症にはその深度によって、表在性膿皮症と深在性膿皮症に分けられます。
犬の膿皮症の原因菌はほとんどが Staphylococcus intermedius という皮膚に常在するブドウ球菌で、他に少数ですがStaphylococcus schleiferi や Staphylococcus aureus などがいます。
症状
膿皮症は通常痒みを伴い、丘疹や膿胞、表皮小環などの皮疹を示します。
丘疹

膿疱

表皮小環

診断
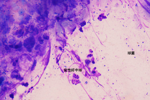
診断は病変部にスライドガラスを押し当て、染色し、顕微鏡で菌、好中球による菌の貪食(菌を取り込み処理する)、変性好中球(貪食後、形が変わる)を確認します。

治療
治療には抗生剤を3週間ほど使います。薬用シャンプーや、抗生剤入りの軟膏も有効です。
近年、メチシリン耐性ブドウ球菌が問題となっており、様々な抗生剤に耐性を持っています。
この場合、細菌培養検査及び薬剤感受性試験に基づいた抗生剤 を投与します。
画像のような皮膚所見があれば膿皮症の可能性があるので、気付かれた時に連れてきてください。

