先天性心疾患

正常な血液循環においては、前大静脈、後大静脈を通って全身から返ってきた血液は、右心房を通り、右心室に入ります。
右心室から、肺動脈を通り肺に血液を送り、酸素を充分に含ませて、肺静脈から左心房に戻ってきます。
左心房から左心室へ移動した血液は大動脈を通って全身へ送り出されます。
これが正常な心臓での血液の流れです。
生まれつきの心臓病には動脈管開存症、心室中隔欠損、心房中隔欠損、肺動脈狭窄症、大動脈狭窄症などがあります。
動脈管開存症
動脈管開存症は犬で比較的発生頻度が高く、治療しなければうっ血性心不全に進行する心疾患です。
動脈管は母親の動脈血を胎児の肺動脈から大動脈へバイパスする役割を担っており、通常生後2〜3日で退縮します。
ところがこの病気では退縮しないので、血液が大動脈から肺動脈に流入し、肺動脈と左心に負荷がかかります。

診断には聴診や心臓のエコー検査が必要となります。
治療は外科手術で根治が望める場合があります。
無治療の場合は診断から1年以内に9/14頭が死亡したという報告があります。
心室中隔欠損
心室中隔欠損とは左心室と右心室の間に欠損孔がある病気です。
左心室からの血流により、肺と左心系に負荷がかかります。
また肺高血圧に陥った場合、右心室から左心室に血液が流れ、肺を経由していない血液が体循環に流入するため、チアノーゼを呈します。
左心室からの血流により、肺と左心系に負荷がかかります。
また肺高血圧に陥った場合、右心室から左心室に血液が流れ、肺を経由していない血液が体循環に流入するため、チアノーゼを呈します。

治療や予後は欠損孔の大きさにより大きく異なります。
自然閉鎖、手術適応で手術した場合は予後は良好です。
自然閉鎖、手術適応で手術した場合は予後は良好です。
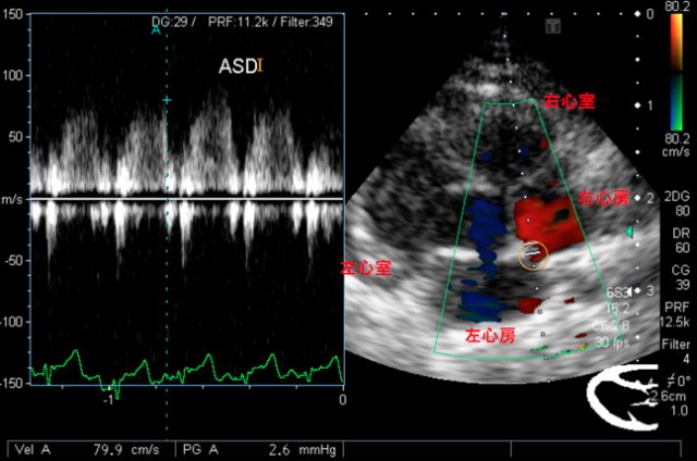
心房中隔欠損
心房中隔欠損は先天的に左心房と右心房の間に欠損孔が生じる病気です。


オレンジの丸の部分に穴が空いています。
多くが無症状で、欠損孔が大きい場合は右心不全を生じることがあります。
肺動脈狭窄症
肺動脈狭窄症は肺動脈弁、もしくはその上下が狭窄することで、右心室に圧が加わり、右心室が肥大し、不整脈からの突然死の可能性があります。

軽度の場合は予後は良好です。
大動脈狭窄症
大動脈狭窄症は大型犬に多い病気で、大動脈弁部の狭窄により、左心内圧が上昇し、左心室が肥大します。

明らかな症状が認められないことも多いですが、狭窄が重度の症例では突然死のリスクが高いです。

