犬の胸腺腫・胸腺癌

病態
胸腺の上皮細胞が腫瘍化した腫瘍で、良性の胸腺腫、悪性の胸腺癌、浸潤性の胸腺腫に分類され、主に中高齢(平均年齢9歳)に発生します。
転移は比較的まれです。
また、頻度は多くありませんが、胸腺腫により重症筋無力症や誤嚥性肺炎、高カルシウム血症などがみられることもあります。
症状
腫瘍が小さい場合は、健康診断や他の病気の検査の際に見つかる場合もありますが、腫瘍が大きくなり、周囲の臓器(気管や、食道、血管、心臓など)を圧迫すると体重減少、元気・食欲の低下、咳、呼吸困難、吐出、顔や頸のむくみなどがみられます。
また、重症筋無力症により巨大食道症がみられることもあります。
診断
胸腺腫の診断には針生検(細い針をさして細胞を採取する検査)が有用です。
胸腺腫では、胸腺の細胞が採取されることはまれですが、小型リンパ球や肥満細胞が採取され、これらが採取された場合、胸腺腫の可能性が非常に高いです。
ステージングおよび併発疾患の確認
胸腺腫が疑わしい場合、大きさや広がり、リンパ節転移、遠隔転移(肺などへの転移)の評価を行います。これをステージングといいます。
同時に併発疾患がないかどうかも評価します。
これらの評価には以下の検査を組み合わせて行い、評価を基に治療方針を決定します。
・血液検査:併発疾患(腎臓病、肝臓病、高カルシウム血症など)の評価
・尿検査:併発疾患(腎臓病など)の評価
・レントゲン検査:大きさ、巨大食道症、肺炎、胸水貯留、遠隔転移(肺など)の評価

胸腺腫のレントゲン(左の赤丸、右は正常なレントゲン)
・超音波検査:大きさや広がりの評価
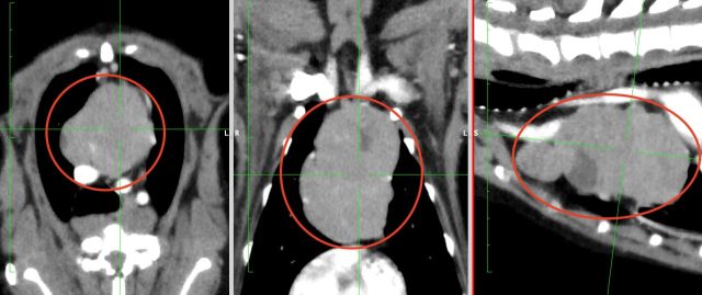
・CT検査:大きさや広がり、リンパ節転移、遠隔転移の評価、
※CT検査はより綿密な治療方針を決定するうえで推奨される検査です

胸腺腫のCT画像(赤丸)
治療
がんの治療には主に「根治治療(積極的治療)」と「緩和治療」があります。
「根治治療(積極的治療)」とはがんと闘う治療であり、がんをできるだけ体から取り除くことを目的とした治療です。根治治療(積極的治療)は長期生存(一般的には年単位)を目的とした治療であり、がんを治すことができる場合もあります。一方、非常に悪性度の高いがんでは、根治治療(積極的治療)を行ったとしても数カ月程度で亡くなってしまう場合もあります。根治治療(積極的治療)では主に「手術」、「放射線治療」、「抗がん剤治療・分子標的治療」を単独あるいは組み合わせて行います。
一方、「緩和治療」とは、がんによる苦痛を和らげることを目的とした治療です。緩和治療は長期生存を目的とした治療ではなく、たとえ短期間(一般的には月単位)であってもその期間の動物の生活の質を改善するために行う治療です。緩和治療では主に「痛みの治療」、「栄養治療」、「症状を和らげる治療」を単独あるいは組み合わせて行います。
・胸腺腫の根治治療(積極的治療)
根治治療として手術が適応となります。
・胸腺腫の緩和治療
腫瘍がかなり大きく、手術が困難な場合、緩和治療として放射線治療やプレドニゾロンが適応となります。
また、それらの治療により腫瘍が小さくなった場合、手術が適応となることもあります。
予後
犬の胸腺腫は手術が可能な場合、手術により根治が期待できます。
2013年の報告では、手術を行なった場合の生存期間中央値は635日であったのに対し、手術を受けなかった場合の生存期間中央値は76日であり、手術が可能なのであれば手術が推奨されます。
また、手術が困難なほど周囲に広がっていても、放射線治療やプレドニゾロンが効く可能性があり、それにより根治は難しくても年単位の生存が期待できる可能性もあります。
動物病院の先生方へ
当院は、各専門診療科を備え、幅広い高度医療を提供しております。
貴院からの症例紹介や症例相談も随時受け付けておりますので、お気軽にご相談ください。
詳細は下記のリンクをご参照ください。
https://www.kamogawa-ac.jp/introduction/
飼い主様へ
当院では、獣医腫瘍科認定医による腫瘍科専門外来を行っております。
詳細は下記のリンクをご参照ください。

