猫の横隔膜ヘルニア

病態
横隔膜ヘルニアとは、胸の中とお腹の中を隔てる横隔膜という筋肉に穴があいてしまい、お腹の中の臓器が胸の中に入り込んでしまう病気で、先天性(生まれつき)と外傷性(交通事故など)により発生します。
若齢で発生する場合が多いですが、特に症状を示さず、中高齢で見つかる場合も多いです。
症状
上述した通り、お腹の中の臓器が胸の中に入り込んでしまうため、呼吸困難や食欲不振、嘔吐、下痢などが認められ、急にぐったりすることが多いです。中には突然死してしまう場合もあります。
一方で、上述した通り、横隔膜ヘルニアがあっても症状が認められない場合もあり、その場合は他の病気の検査の際にたまたま見つかる場合もあります。
診断
多くはレントゲン検査や超音波検査でお腹の臓器が胸の中に入り込んでいることを確認することで診断されます。より詳細にどのような臓器が入り込んでいるか、臓器の癒着などを確認し、手術をよりやりやすくするためにCT検査を行う場合もあります。

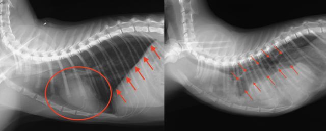
正常なレントゲン(左)では、横隔膜(赤矢印)と心臓(赤丸)がはっきり見えますが、横隔膜ヘルニアのレントゲン(右)では、横隔膜と心臓が見えず、胸の中に腸(赤矢印)が入り込んでいます
治療
横隔膜ヘルニアにより呼吸困難などの症状が認められる場合は、酸素をかがせたり、状態を安定させたのち緊急手術が必要となります。
予後
横隔膜ヘルニアは緊急性の高い病気で、呼吸困難など状態が悪いまま放置しておくと生命に関わる病気です。手術により横隔膜を再建することで再発することはまれであり、入院期間を乗り越えることができれば予後は良好です。
当院では横隔膜ヘルニアに関して、十分な説明を行い、治療方針を決定しています。
動物病院の先生方へ
当院は、各専門診療科を備え、幅広い高度医療を提供しております。
貴院からの症例紹介や症例相談も随時受け付けておりますので、お気軽にご相談ください。
詳細は下記のリンクをご参照ください。
https://www.kamogawa-ac.jp/introduction/

