猫
元気がない、ぐったり/食欲がない/呼吸が荒い(苦しそう)
外科
猫の横隔膜ヘルニア

| 動物 | 猫 |
|---|---|
| 種類 | mix |
| 性別 | 未避妊雌 |
| 年齢 | 推定7ヶ月 |
| 地域 | 京都市上京区 |
| 症状/病態 | 元気食欲の低下、呼吸促迫(呼吸が速い)、発熱 |
| 考えられる病気 | 肺炎などの呼吸器疾患、消化器疾患、横隔膜ヘルニア |
突然の元気・食欲低下を主訴に来院され、身体検査では、呼吸促迫(呼吸が速い)、発熱が認められました。肺炎など呼吸器疾患や、消化器疾患、横隔膜ヘルニアなどを疑い、各種検査を実施したところ、レントゲン検査で、横隔膜のラインが消失し、お腹の臓器が胸へ入り込んでいる様子が認められたため、「横隔膜ヘルニア」と診断しました。
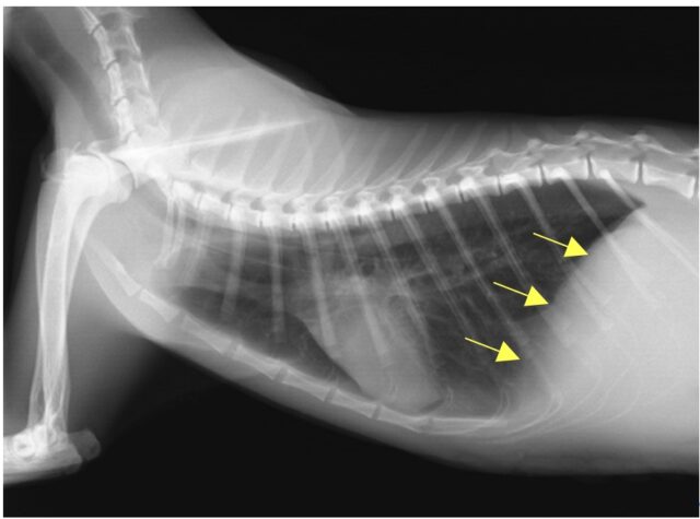
本症例の胸部レントゲン写真です。


CT検査で逸脱臓器の状態の詳細を把握した後、整復手術を実施しました。
以下、手術写真となりますので、苦手な方はご注意ください。

お腹を開けて、胸に入り込んだお腹の臓器を手で優しく戻していきます。写真は、手前が腹側、奥が胸側です。横隔膜にあいた穴から、胃(青丸)が胸に入り込んでいます。

腹腔内臓器をお腹に戻した後、横隔膜の穴(青丸)を縫合します。

手術は無事終了しました。術後1日目から自力でご飯が食べられるようになり、呼吸状態も安定していました。

術後5日目の胸部レントゲン写真では、逸脱していた臓器がお腹の中に戻り、正常な横隔膜ライン(矢印)が確認できます。
本症例は、術後7日目で退院することができました。その後も自宅で元気に過ごしてくれています。

