犬の膀胱・尿道移行上皮癌

病態
膀胱や尿道の表面を覆う移行上皮が腫瘍化した悪性腫瘍(がん)です。
主に中高齢で発生しますが、若齢で発生する場合もあります。
移行上皮癌は局所浸潤性の強い腫瘍であり、尿管や尿道が塞がり尿が出なくなる可能性があります。
また、転移率も比較的高く、診断した時点で約10~20%が転移していると考えられており、主にリンパ節や肺に転移します。その他、骨などに転移することもあります。
症状
血尿や頻尿、排尿困難などの症状がみられます。これらの症状は膀胱炎や膀胱結石でもみられる症状なので注意が必要です。
診断
尿道から膀胱内に細いカテーテルあるいは内視鏡を挿入し、組織を採材することで診断します。
その他、BRAF遺伝子検査、HER2遺伝子検査も移行上皮癌を診断する一助となります。
一方、皮膚から膀胱内の腫瘍に向かって針生検(細い針をさして細胞を採取する検査)を行うことは、皮膚に腫瘍を播種させてしまうので禁忌とされています。
ステージングおよび併発疾患の確認
移行上皮癌と診断した場合、がんの大きさや広がり、リンパ節転移、遠隔転移(肺、骨などへの転移)の評価を行います。これをステージングといいます。
同時に併発疾患がないかどうかも評価します。
これらの評価には以下の検査を組み合わせて行い、評価を基に治療方針を決定します。
・血液検査:併発疾患(貧血や腎臓病、肝臓病など)の評価
・尿検査:併発疾患(腎臓病、膀胱炎など)の評価
・レントゲン検査:リンパ節転移、遠隔転移(肺、骨など)の評価
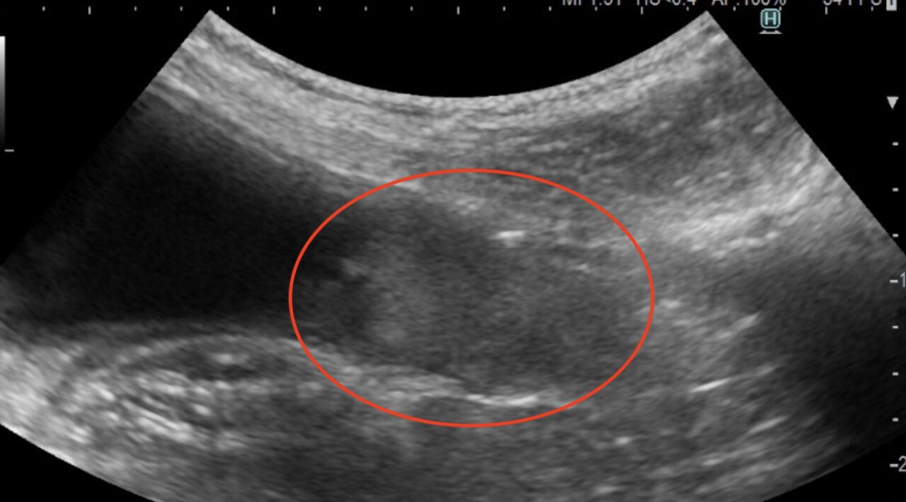
・超音波検査:がんの大きさや広がり、リンパ節転移の評価

膀胱の移行上皮癌の超音波画像(赤丸)

尿道の移行上皮癌の超音波画像(赤丸)
・CT検査:リンパ節転移、遠隔転移の評価
犬の膀胱移行上皮癌のステージ分類
| 腫瘍の大きさ(T) | リンパ節転移(N) | 遠隔転移(M) |
| T0:腫瘍は認められない | N0:リンパ節転移なし | M0:遠隔転移なし |
| Tis:非浸潤性 | N1:領域リンパ節への転移 | M1:遠隔転移あり |
| T1:表在性乳頭状腫瘍 | N2:領域リンパ節と近傍リンパ節への転移 | |
| T2:膀胱壁に浸潤 | ||
| T3:隣接臓器に浸潤 |
治療
がんの治療には主に「根治治療(積極的治療)」と「緩和治療」があります。
「根治治療(積極的治療)」とはがんと闘う治療であり、がんをできるだけ体から取り除くことを目的とした治療です。根治治療(積極的治療)は長期生存(一般的には年単位)を目的とした治療であり、がんを治すことができる場合もあります。一方、非常に悪性度の高いがんでは、根治治療(積極的治療)を行ったとしても数カ月程度で亡くなってしまう場合もあります。根治治療(積極的治療)では主に「手術」、「放射線治療」、「抗がん剤治療・分子標的治療」を単独あるいは組み合わせて行います。
一方、「緩和治療」とは、がんによる苦痛を和らげることを目的とした治療です。緩和治療は長期生存を目的とした治療ではなく、たとえ短期間(一般的には月単位)であってもその期間の動物の生活の質を改善するために行う治療です。緩和治療では主に「痛みの治療」、「栄養治療」、「症状を和らげる治療」を単独あるいは組み合わせて行います。
・膀胱・尿道移行上皮癌の根治治療(積極的治療)
明らかな浸潤や転移がない場合、根治治療として手術(膀胱全摘出と必要であればリンパ節切除)を行い、その後に抗がん剤治療や分子標的治療、非ステロイド性の抗炎症薬が適応となります。
また、様々な理由から手術が許容できない場合は、抗がん剤治療や分子標的治療、非ステロイド性の抗炎症薬が適応となります。
・膀胱・尿道移行上皮癌の緩和治療
腫瘍がすでに浸潤あるいは転移している場合、根治治療は適応とならない場合が多いです。
その場合は、腫瘍の進行を遅らせる治療(抗がん剤や分子標的治療など)や疼痛管理、免疫療法が選択されます。
また、腫瘍で尿管や尿道が塞がり、排尿できなくなる場合は、尿管ステントや尿道ステント、尿路変更術などが適応となる場合もあります。
予後
根治治療を行った場合の生存期間中央値は約1年であり、転移がない症例に手術を行うことで、10~20%程度は年単位での長期生存が可能となります。
一方、転移がみられるあるいは腫瘍の浸潤により尿管や尿道が塞がっている場合、予後は悪く、生存期間中央値は数ヶ月となります。ただし、この場合でも、適切な緩和治療を行うことで動物の生活の質を改善させることは可能です。
治療しない場合の生存期間中央値は2ヶ月であり、予後は非常に悪いです。
動物病院の先生方へ
当院は、各専門診療科を備え、幅広い高度医療を提供しております。
貴院からの症例紹介や症例相談も随時受け付けておりますので、お気軽にご相談ください。
詳細は下記のリンクをご参照ください。
https://www.kamogawa-ac.jp/introduction/
飼い主様へ
当院では、獣医腫瘍科認定医による腫瘍科専門外来を行っております。
詳細は下記のリンクをご参照ください。

