犬
血尿、尿が出ない/頻尿
泌尿器科
犬の尿道結石

| 動物 | 犬 |
|---|---|
| 種類 | パピヨン |
| 性別 | 雄 |
| 年齢 | 6歳 |
| 地域 | 北区 |
| 症状/病態 | 尿の出が悪い(少量頻回) |
| 考えられる病気 | 膀胱炎、膀胱・尿道結石、膀胱・尿道の腫瘍、腎臓病 |
元気や食欲は問題ないが、1回の排尿時に尿の出る量が減ったとのことで来院。
尿検査を実施したところ細菌や結晶は検出されませんでしたが、血液が混ざっていました。
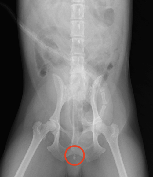
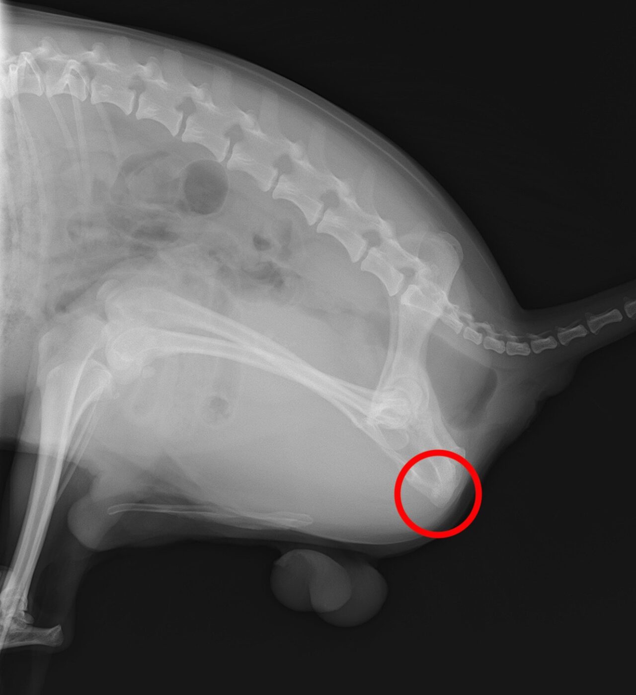
そこでレントゲン検査、腹部超音波検査を実施したところ膀胱内と尿道に結石を疑うような像が認められました。
レントゲン画像


腹部超音波画像


そこで尿道に詰まっている結石を動かすために尿道にカテーテルを挿入し生理食塩水で膀胱内に押し戻すことで尿道の狭窄を解除しました。
一時的に尿の異常はなくなったものの、結石自体は体内に残っていることから数日で症状の再発が認められ、再度結石を膀胱に押し戻した後、膀胱切開により結石を摘出しました。
以下、手術時の写真となります。苦手な方はご注意ください。
膀胱を切開し結石を取り除きます。

摘出された結石はシュウ酸カルシウムでした。

その後は入院して尿が正常に出せるか確認し、数日後に退院しました。
退院後は排尿時の異常はなくなり、現在は食事やサプリメントにより再発の予防を行っています。

