猫
外傷/呼吸が荒い(苦しそう)
呼吸器科/外科/外傷
猫の横隔膜ヘルニア(メッシュの使用)

| 動物 | 猫 |
|---|---|
| 種類 | MIX |
| 性別 | 去勢雄 |
| 年齢 | 6歳5ヶ月 |
| 地域 | 京都市左京区 |
| 症状/病態 | 元気・食欲の低下、呼吸が早い |
| 考えられる病気 | 肺の病気、その他様々な病気が考えられる |
呼吸が早いとのことで紹介元病院に来院し、レントゲンを撮影したところ横隔膜ヘルニアが疑われるとのことで当院に紹介来院しました。
横隔膜ヘルニアとは、胸の中とお腹の中を隔てる横隔膜という筋肉に穴があいてしまい、お腹の中の臓器が胸の中に入り込んでしまう病気で、先天性(生まれつき)と外傷性(交通事故など)により発生します。
この猫ちゃんも最近、外に出ていたとのことで、年齢からも外傷性の横隔膜ヘルニアが疑われ、当院でもレントゲンを撮影しました。

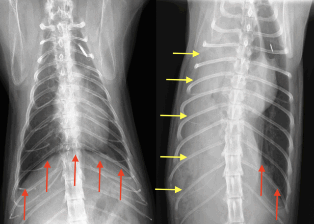
左側のレントゲンは正常な猫ちゃんの胸のレントゲンであり、赤矢印で示す横隔膜のラインがはっきり見えます。
一方、右側のレントゲンはこの猫ちゃんの胸のレントゲンであり、レントゲンの右側では赤矢印で示す横隔膜のラインが見えますが、左側では見えず、黄色矢印で示すお腹の中の臓器が胸の中に入り込んでいます。
このままでは、より呼吸が苦しくなってしまう可能性があるため、手術を行うこととしました。
以下、手術の写真となります。苦手な方はご注意ください。

今回は肝臓と腸が胸の中に入り込んでいたため、それらをお腹に戻し、あいている横隔膜(黄色丸)を確認しました。

写真の右側の横隔膜は糸で縫い合わせることが可能でしたが(黄色矢印)、左側は糸で縫い合わせるのが困難でした(黄色丸)。

そのため、今回のように糸で縫合できない場合に使用されるウルトラプロメッシュを用いてあいている穴を塞ぎました(黄色丸)。

さらに肝臓がこのメッシュにあたって傷つかないように、大網で覆いました(黄色丸)。
最後に胸の中とお腹の中にドレーンを入れてお腹を閉じて手術を終了しました。
手術の翌日から状態は改善し、ご飯も食べることができるようになり、数日後に胸の中とお腹の中のドレーンを抜き、5日後に元気に退院しました。
今回、糸であいている穴を塞ぐことができず、ウルトラプロメッシュというものを使用して塞いだ猫ちゃんを紹介しました。このメッシュは人工物ですが、一部は吸収されるため、炎症を起こしにくいメッシュとなっています。
今後は再発などに注意しながら紹介元病院で経過をみていく予定です。

