犬
便が出にくい、出ない
消化器科(腸の病気・肝臓の病気)/外科
会陰ヘルニア

| 動物 | 犬 |
|---|---|
| 種類 | ミニチュアダックスフント |
| 性別 | 去勢済みオス |
| 年齢 | 14歳 |
| 地域 | 京都市北区 |
| 症状/病態 | 便が出にくい |
| 考えられる病気 | 会陰ヘルニア、腸閉塞、腸重積、大腸ポリープ、大腸腫瘍、痔、肛門周囲の腫瘍、便秘 |
便が出にくく、排便時に鳴き声をあげるとのことで来院されました。
肛門の左側が大きく腫れており、直腸検査をすると直腸の左側に憩室ができておりそこに便が貯留しているのが触知できました。

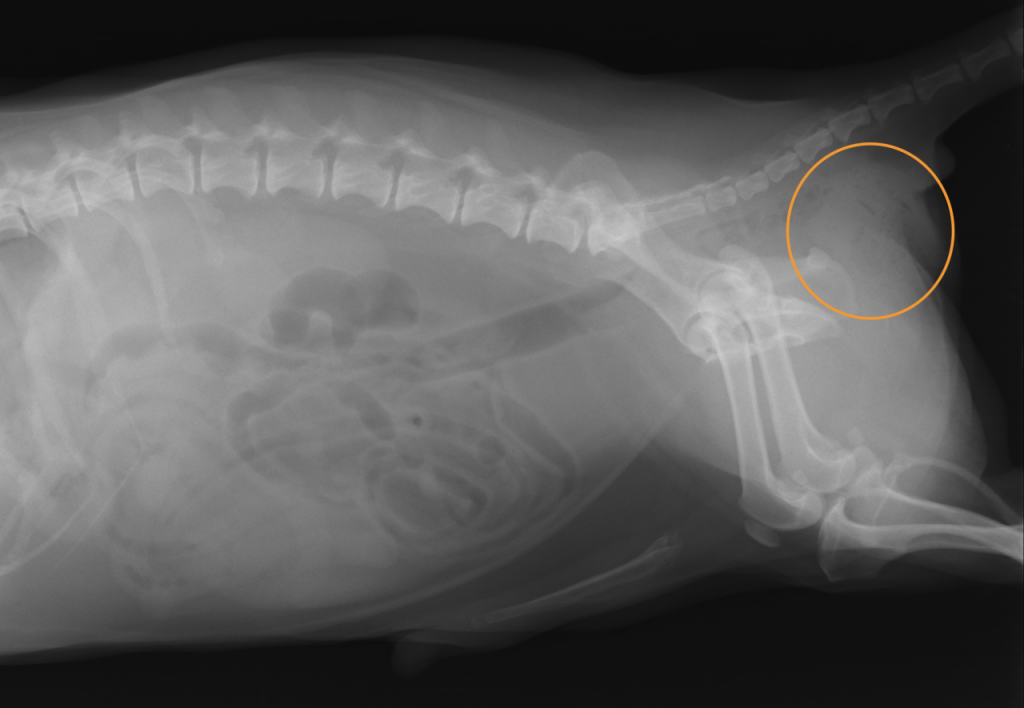
レントゲンでは、下写真のマークした部分に便の貯留が見られました。
(造影剤をお尻から注入するとレントゲンで白く写り、便の溜まりが見えやすくなります。)


この患者さんは5年前に他院で両側会陰ヘルニアの手術を受けたことがあるとのことで、今回は会陰ヘルニアの再発と診断し、整復手術を行うこととなりました。
(※この後に手術の写真が出てきます。苦手な方はご注意ください。)
↓
↓
↓
↓
↓
↓
↓
↓
肛門の左側を切開すると、筋肉が薄くなり隙間が空いてできるヘルニア孔が見られました。
このヘルニア孔から腸がはみ出し憩室ができてしまうため、筋肉を寄せてこの孔を塞ぐことが手術の目的となります。

周辺の筋肉を寄せて糸で結び、ヘルニア孔を閉じてゆきます。


術後は液体のフードを数日与え、その後は消化が良く繊維を多く含んだフードに変更し、術後4日目で無事に排便することができました。
その後も経過は良好です。
14歳と高齢での手術で飼い主様も心配しておられましたが、手術をすることで排便時の苦痛なく、楽に生活できるようになりました。

