犬
元気がない、ぐったり/食欲がない/呼吸が荒い(苦しそう)/咳が出ている
循環器科(心臓の病気)
心原性肺水腫

| 動物 | 犬 |
|---|---|
| 種類 | トイプードル |
| 性別 | 避妊雌 |
| 年齢 | 14歳 |
| 地域 | 京都市北区 |
| 症状/病態 | 数日前からの元気食欲低下、失神 |
| 考えられる病気 | 心不全、不整脈、頭蓋内疾患、その他代謝性疾患 |
数日前から元気と食欲が落ちており、興奮時に失神するとのことで来院されました。
現病歴として、僧帽弁閉鎖不全症ステージB2と診断され強心剤による治療を行っており、来院時活動性はあるものの努力性呼吸がみられたため、同疾患の進行を第一に疑いました。
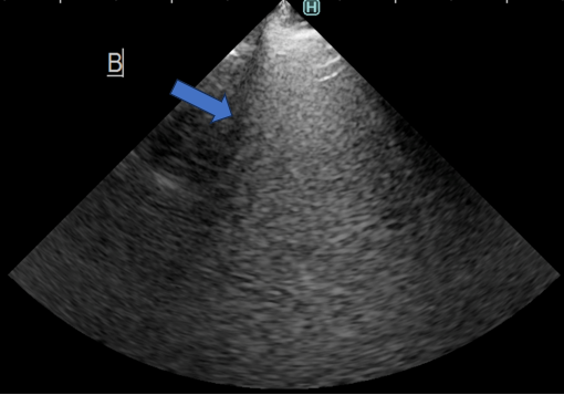
立位での胸部エコー検査にて肺水腫や肺炎などの病変を疑うBラインが認められました。

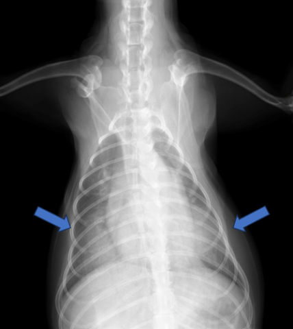
胸部レントゲン検査にて心陰影の拡大と肺野の透過性の低下が認められました。

既往歴と画像所見から僧帽弁閉鎖不全症ステージCへの進行による心原性肺水腫と診断しました。
急ぎ利尿剤を皮下投与し、続けて静脈からの利尿剤の持続投与を開始し酸素室内でしばらく安静にしてもらいました。
利尿剤の反応がよく、1時間経たず排尿が頻回認められ、数時間後には呼吸様式は改善し、ゆっくり眠るような様子がみられました。
翌朝胸部レントゲン検査を行ったところ、肺野の改善が認められました。

元気食欲や呼吸状態など一般状態の改善も確認できたため、利尿剤を内服薬に変更し退院としました。
今のところ再発もなく元気に過ごしてくれています。
本疾患は基本的に咳や呼吸困難などの呼吸器症状がみられることが多いですが、失神や元気食欲の低下なども併発することがあります。
また動物の性格によっては努力性の呼吸なのか、興奮してパンティングしているだけなのかわかりにくいこともあります。
愛犬の体調が悪いのかどうか判断に迷う場合もぜひ当院にご相談ください。

