犬
頚のしこり
腫瘍科(ガン)/外科
犬の頸動脈小体腫瘍

| 動物 | 犬 |
|---|---|
| 種類 | トイ・プードル |
| 性別 | 避妊雌 |
| 年齢 | 14歳8ヶ月 |
| 地域 | 京都市左京区 |
| 症状/病態 | 頸のしこり |
| 考えられる病気 | 炎症、脂肪腫、リンパ腫、がんの転移、甲状腺癌、頸動脈小体など |
紹介元病院で、腸にしこりが見つかり、その精査のために紹介来院しました。
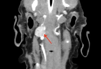
CT検査の結果、腸のしこりとは別に頸にしこりが見つかり、検査の結果、頸動脈小体が疑われました。
この腫瘍は、喉の奥にしこりができるため、気づいた時にはかなり進行しており、手術ができない場合が多いです。
また、この腫瘍は頸の血管から発生するため、進行すると、脳へ広がってしまうこともあります。
しかし、2024年にこの腫瘍に対して手術を行った21例が報告され、1年生存率61%、2年生存率42%であり、手術により長期生存できる可能性が示されました。
このわんちゃんも頸を触っても気づかないくらいの大きさでたまたまCT検査で見つかったので、ご家族と相談の結果、手術を実施することとしました。
以下、手術の写真となります。苦手な方はご注意ください。

皮膚および皮下組織を切開し、筋肉の間を分けていくと腫瘍が確認できました(青丸)。

上述した通り、この腫瘍は頸の血管(青矢印)から発生するため、腫瘍を切除するためには血管を一緒に切除する必要があります、そのため、血管を糸で縛り切除しました。

この際、血管には神経(黄色矢印)が併走しているため、神経は損傷しないように注意が必要です。

切除後の写真です。神経(黄色矢印)が温存されているのが分かります。
術後大きな問題はなく、3日で退院しました。
病理診断は頸動脈小体であり、完全に切除できていました。
今後は紹介元病院の方で経過をみていく予定です。
動物病院の先生方へ
当院は、各専門診療科を備え、幅広い高度医療を提供しております。
貴院からの症例紹介や症例相談も随時受け付けておりますので、お気軽にご相談ください。
詳細は下記のリンクをご参照ください。
https://www.kamogawa-ac.jp/introduction/
飼い主様へ
当院では、獣医腫瘍科認定医による腫瘍科専門外来を行っております。
詳細は下記のリンクをご参照ください。

