猫
耳のしこり
腫瘍科(ガン)/外科
猫の耳の扁平上皮癌(耳介・垂直耳道切除)

| 動物 | 猫 |
|---|---|
| 種類 | MIX |
| 性別 | 避妊雌 |
| 年齢 | 5歳 |
| 地域 | 京都市東山区 |
| 症状/病態 | 耳のできもの |
| 考えられる病気 | 炎症性疾患、扁平上皮癌、耳孔腺癌など |
耳のできものを主訴に紹介来院されました。
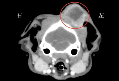
CT検査と組織生検(できものの一部を採取する検査)の結果、できものは扁平上皮癌であり、耳周囲にも浸潤していましたが、水平耳道(鼓膜のある耳の奥側)までは浸潤していませんでした。
そのため、手術は可能と判断しましたが、手術を行う場合、耳介部分(人で言う耳の部分)を切除しないといけないため、見た目が変わってしまいます。
そのことをご家族にお伝えした上で手術を行うこととしました。
以下、手術の写真となります。苦手な方はご注意ください。

CT検査を参考に今回は赤丸で囲んだ範囲を切除することとしました。
この範囲で切除すると、そのまま切除部位を閉鎖することができないため、黄色矢印で示した青いラインに切開を加え、ここの皮膚を切除部位に前進させて閉鎖する計画を立てました。

切除をすすめ、垂直耳道部分(黄色丸)を確認し、腫瘍が浸潤していないことを確認し、切除しました。

切除後です。黄色丸は残っている耳道です。

このままでは閉鎖ができないため、予定通り、青いラインで切開し、皮膚を前進させることとしました。

閉鎖後の写真です、黄色矢印で示したものは耳道になります。
耳垢が耳道内に貯まらないように工夫しています。

術後2週間(左)と2ヶ月後(右)の写真になります。傷口は綺麗に治っています。
病理検査は扁平上皮癌で、腫瘍は細胞レベルで一部残っていたため、術後に電気化学療法を行い、現在経過観察中です。
動物病院の先生方へ
当院は、各専門診療科を備え、幅広い高度医療を提供しております。
貴院からの症例紹介や症例相談も随時受け付けておりますので、お気軽にご相談ください。
詳細は下記のリンクをご参照ください。
https://www.kamogawa-ac.jp/introduction/
飼い主様へ
当院では、獣医腫瘍科認定医による腫瘍科専門外来を行っております。
詳細は下記のリンクをご参照ください。

