心タンポナーデ

病態
通常、心臓と心臓を覆う心外膜の間(心膜腔)には心嚢水という液体がわずかに貯留しており、心臓の収縮と拡張をスムーズにする潤滑油としての役割を担っています。

心タンポナーデとは、心膜腔内に出血あるいは心膜液が何らかの原因で貯留した結果、心膜腔内の圧が上昇し、右心房の圧を超えてしまった状態です。

原因には腫瘍、右心不全、左房破裂、心膜炎、特発性などがあります。
症状
虚脱(ぐったり)、食欲不振、胸水、腹水などが認められます。
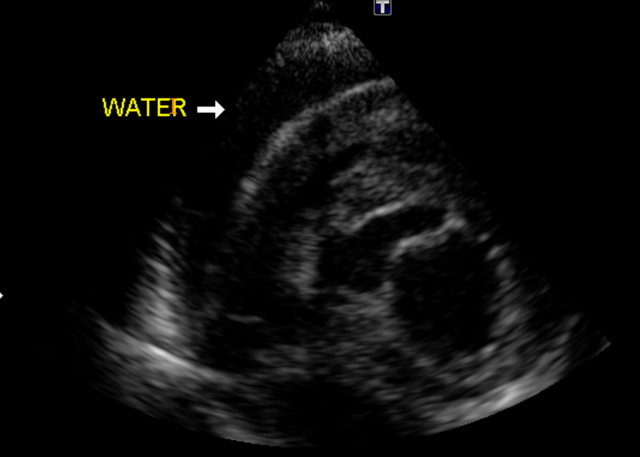
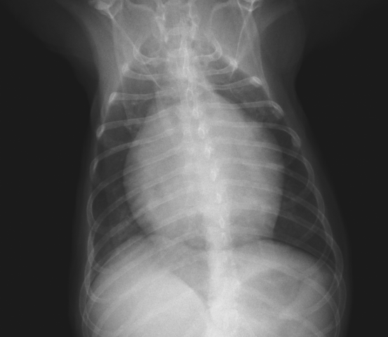
診断
心臓エコー検査にて、心嚢水、右心房の虚脱を確認。また腫瘍や心臓病の確認もできます。

レントゲン検査では、大きく丸くなった心臓が確認できます。


こちらは正常な心臓です。


また心電図検査では特徴的な脈が確認できることがあります。
治療
心タンポナーデの場合、心膜穿刺術や、外科的心膜切除術が実施されます。

