犬の副腎腫瘍(副腎皮質腺癌)

病態
副腎は腎臓の近くにある臓器で、様々なホルモン(鉱質コルチコイド、糖質コルチコイド、性ホルモン、カテコラミン)を分泌します。
この副腎には良性腫瘍、悪性腫瘍、転移性腫瘍など様々な腫瘍が発生します。
その中でも副腎皮質腺癌は副腎に発生する最も一般的な悪性腫瘍です。副腎皮質腺癌の転移率は10~20%程度と悪性腫瘍の中では比較的低いですが、糖質コルチコイドというホルモンを過剰に分泌することがあり、さまざまな症状を引き起こす可能性があります(症状の項を参照)。また、20%程度が血管内に腫瘍が入り込み、腫瘍の塊(腫瘍栓)を形成します。
症状
健康診断の際やその他の病気の検査の際に見つかることもありますが、ホルモンを過剰に分泌することで多飲多尿、多食、筋力低下などの症状(副腎皮質機能亢進症(クッシング症候群)といいます)を引き起こすこともあります。また、まれですが、腫瘍が破裂することで出血が起こり、急にぐったりすることもあります。
診断
副腎皮質腺癌の確定診断には手術で切除し、病理組織検査を行う必要があります。
針生検(細い針をさして細胞を採取する検査)では、良性腫瘍(副腎皮質腺腫)との区別が難しく、出血のリスクもあるため、基本的には行われません。
画像検査(エコー検査やCT検査)では確定することはできませんが、副腎皮質腺癌を疑うことは可能です。
ステージングおよび併発疾患の確認
副腎皮質腺癌が疑わしい場合、がんの大きさや広がり、リンパ節転移、遠隔転移(肝臓、肺などへの転移)の評価を行います。これをステージングといいます。
同時に併発疾患がないかどうかも評価します。
これらの評価には以下の検査を組み合わせて行い、評価を基に治療方針を決定します。
・血液検査:併発疾患(腎臓病、肝臓病など)の評価、ホルモン(副腎皮質機能亢進症)の評価
・尿検査:併発疾患(腎臓病など)の評価
・レントゲン検査:遠隔転移(肺など)の評価
・腹部超音波検査:がんの大きさや広がり、遠隔転移(肝臓など)の評価
・CT検査:がんの大きさや広がり、リンパ節転移、遠隔転移(肝臓、肺など)の評価
※CT検査はより綿密な治療方針を決定するうえで必須の検査です

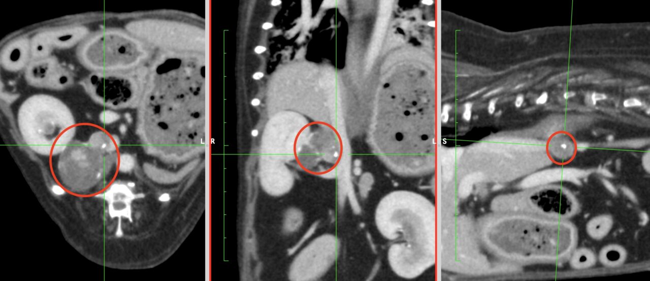
副腎皮質腺癌のCT画像(赤丸)
治療
がんの治療には主に「根治治療(積極的治療)」と「緩和治療」があります。
「根治治療(積極的治療)」とはがんと闘う治療であり、がんをできるだけ体から取り除くことを目的とした治療です。根治治療(積極的治療)は長期生存(一般的には年単位)を目的とした治療であり、がんを治すことができる場合もあります。一方、非常に悪性度の高いがんでは、根治治療(積極的治療)を行ったとしても数カ月程度で亡くなってしまう場合もあります。根治治療(積極的治療)では主に「手術」、「放射線治療」、「抗がん剤治療・分子標的治療」を単独あるいは組み合わせて行います。
一方、「緩和治療」とは、がんによる苦痛を和らげることを目的とした治療です。緩和治療は長期生存を目的とした治療ではなく、たとえ短期間(一般的には月単位)であってもその期間の動物の生活の質を改善するために行う治療です。緩和治療では主に「痛みの治療」、「栄養治療」、「症状を和らげる治療」を単独あるいは組み合わせて行います。
・副腎皮質腺癌の根治治療(積極的治療)
根治治療として手術が適応となります。
・副腎皮質腺癌の緩和治療
様々な状況により手術が困難な場合、緩和治療が行われます。
副腎皮質腺癌により、副腎皮質機能亢進症がみられる場合は、薬による治療が行われます。一方、副腎皮質機能亢進症がみられない場合は、分子標的治療や免疫療法、経過観察を行うこととなります。
予後
副腎皮質腺癌の場合、手術を乗り越えれば、生存期間中央値は2〜3年程度であり、予後は良好です。一方、手術を行わず、薬による治療を行なった場合の生存期間中央値は1年程度で手術を行なった場合と比較すると予後は悪いです。
動物病院の先生方へ
当院は、各専門診療科を備え、幅広い高度医療を提供しております。
貴院からの症例紹介や症例相談も随時受け付けておりますので、お気軽にご相談ください。
詳細は下記のリンクをご参照ください。
https://www.kamogawa-ac.jp/introduction/
飼い主様へ
当院では、獣医腫瘍科認定医による腫瘍科専門外来を行っております。
詳細は下記のリンクをご参照ください。

