犬の扁桃の扁平上皮癌

病態
扁桃は喉にあるリンパ組織でこの部位にがんが発生することがあります。
扁桃で最も発生の多いがんは扁平上皮癌で、扁平上皮細胞が腫瘍化したもので、主に中高齢で発生します。
キャバリア・キング・チャールズ・スパニエルやコリー犬に発生しやすいです。
扁桃は喉にあるため、動物の場合、麻酔をかける際にしかほとんど見ることができません。
そのため、頚のしこり(扁桃の扁平上皮癌がリンパ節に転移したもの)に先に気づいて発見される場合が多いです。
すなわち、扁桃の扁平上皮癌が発見される場合、すでにリンパ節に転移している場合がほとんどです。また、20%程度が診断した時点で肺に転移しています。
症状
症状がなく、頚のしこりに気づいて来院される場合もありますが、咳や嚥下障害(飲み込みづらい)、元気・食欲低下などが見られて来院することがほとんどです。
診断
頚のしこりを針生検(細い針をさして細胞を採取する検査)することで扁桃の扁平上皮癌のリンパ節転移を疑うことができます。最終的には麻酔をかけて、扁桃の腫大を確認し、扁桃の針生検あるいは組織生検による病理組織検査が必要となります。
ステージングおよび併発疾患の確認
扁桃の扁平上皮癌が疑わしい場合、がんの大きさや広がり、リンパ節転移、遠隔転移(肺などへの転移)の評価を行います。これをステージングといいます。
同時に併発疾患がないかどうかも評価します。
これらの評価には以下の検査を組み合わせて行い、評価を基に治療方針を決定します。
・血液検査:併発疾患(腎臓病、肝臓病など)の評価
・尿検査:併発疾患(腎臓病など)の評価
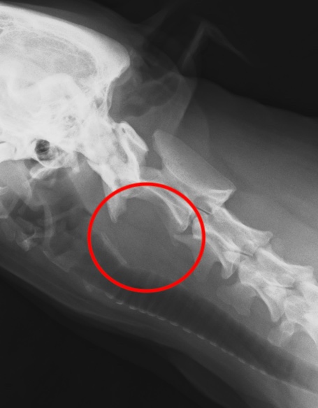
・レントゲン検査:リンパ節転移、遠隔転移(肺など)の評価

扁桃の扁平上皮癌がリンパ節転移したレントゲン画像(赤丸)
・頚部超音波検査:リンパ節の評価
・CT検査:がんの大きさや広がり、リンパ節転移、遠隔転移の評価
※CT検査はより綿密な治療方針を決定するうえで必須の検査です

扁桃の扁平上皮癌がリンパ節転移したCT画像(赤丸)
犬の扁桃の扁平上皮癌のステージ分類
| 腫瘍の浸潤(T) | リンパ節転移(N) | 遠隔転移(M) |
| T1:表層に限局
a:全身症状なし、b:全身症状あり |
N0:リンパ節腫脹なし
a:転移なし、b:転移あり |
M0:転移なし |
| T2:扁桃内のみに浸潤
a:全身症状なし、b:全身症状あり |
N1:扁桃と同側のリンパ節腫脹(可動性)
a:転移なし、b:転移あり |
M1:転移あり |
| T3:周囲組織に浸潤
a:全身症状なし、b:全身症状あり |
N2:扁桃と対側あるいは両側のリンパ節腫脹(可動性)
a:転移なし、b:転移あり |
|
| N3:リンパ節腫脹(固着性) |
治療
がんの治療には主に「根治治療(積極的治療)」と「緩和治療」があります。
「根治治療(積極的治療)」とはがんと闘う治療であり、がんをできるだけ体から取り除くことを目的とした治療です。根治治療(積極的治療)は長期生存(一般的には年単位)を目的とした治療であり、がんを治すことができる場合もあります。一方、非常に悪性度の高いがんでは、根治治療(積極的治療)を行ったとしても数カ月程度で亡くなってしまう場合もあります。根治治療(積極的治療)では主に「手術」、「放射線治療」、「抗がん剤治療・分子標的治療」を単独あるいは組み合わせて行います。
一方、「緩和治療」とは、がんによる苦痛を和らげることを目的とした治療です。緩和治療は長期生存を目的とした治療ではなく、たとえ短期間(一般的には月単位)であってもその期間の動物の生活の質を改善するために行う治療です。緩和治療では主に「痛みの治療」、「栄養治療」、「症状を和らげる治療」を単独あるいは組み合わせて行います。
・扁桃の扁平上皮癌の根治治療(積極的治療)
明らかな転移がない場合、根治治療として手術(扁桃の切除)が適応となります。
・扁桃の扁平上皮癌の緩和治療
腫瘍が転移している場合、根治治療は適応となりません。
その場合は、痛みの緩和や症状(咳や嚥下障害など)の緩和、腫瘍の進行を遅らせる治療が選択され、たとえ転移があったとしても、手術、放射線治療などが適応となる場合もあります。
また、当院では、状況に応じて、免疫療法や鎮痛剤などを組み合わせて行うこともあります。
予後
扁桃の扁平上皮癌と診断した15頭の報告では、明らかな転移がなく、根治治療(積極的治療)を行った場合の生存期間中央値は637日(168日〜1116日)であり、年単位の生存が可能です。
一方、リンパ節転移がみられた場合の生存期間中央値は134日(15日〜473日)、遠隔転移がみられた場合の生存期間中央値は75日(54日〜96日)であり、転移がない場合と比較すると予後は悪いです。
動物病院の先生方へ
当院は、各専門診療科を備え、幅広い高度医療を提供しております。
貴院からの症例紹介や症例相談も随時受け付けておりますので、お気軽にご相談ください。
詳細は下記のリンクをご参照ください。
https://www.kamogawa-ac.jp/introduction/
飼い主様へ
当院では、獣医腫瘍科認定医による腫瘍科専門外来を行っております。
詳細は下記のリンクをご参照ください。

