犬の肝臓腫瘍(肝細胞癌)

病態
肝臓には良性腫瘍、悪性腫瘍、転移性腫瘍など様々な腫瘍が発生します。転移性腫瘍を除くと、犬でみられる肝臓腫瘍は肝細胞癌が最も多くみられ、主に中高齢で発生します。
犬には6つの肝葉(外側左葉、内側左葉、方形葉、内側右葉、外側右葉、尾状葉)があり、肝細胞癌はこのうち1つの肝葉のみに発生することが多く、その場合転移は稀です。一方、稀に複数の肝葉に発生することもあり、この場合はリンパ節や肺などへ転移する可能性があります。
症状
健康診断の際やその他の病気の検査の際に見つかることが多いですが、腫瘍が破裂することで出血が起こり、急にぐったりすることもあります。また、肝細胞癌は低血糖を引き起こす可能性もあり、痙攣発作などで来院することもあります。
診断
針生検(細い針をさして細胞を採取する検査)をすることでそれ以外の悪性腫瘍と区別することが可能です。
しかし、肝臓には肝細胞癌以外に良性腫瘍の肝細胞腺腫も発生し、これらの区別には手術で切除し、病理組織検査を行う必要があります。
ステージングおよび併発疾患の確認
肝臓腫瘍が疑わしい場合、がんの大きさや広がり、リンパ節転移、遠隔転移(肺などへの転移)の評価を行います。これをステージングといいます。
同時に併発疾患がないかどうかも評価します。
これらの評価には以下の検査を組み合わせて行い、評価を基に治療方針を決定します。
・血液検査:貧血の評価、血糖値の評価、併発疾患(腎臓病、肝臓病など)の評価
・尿検査:併発疾患(腎臓病など)の評価
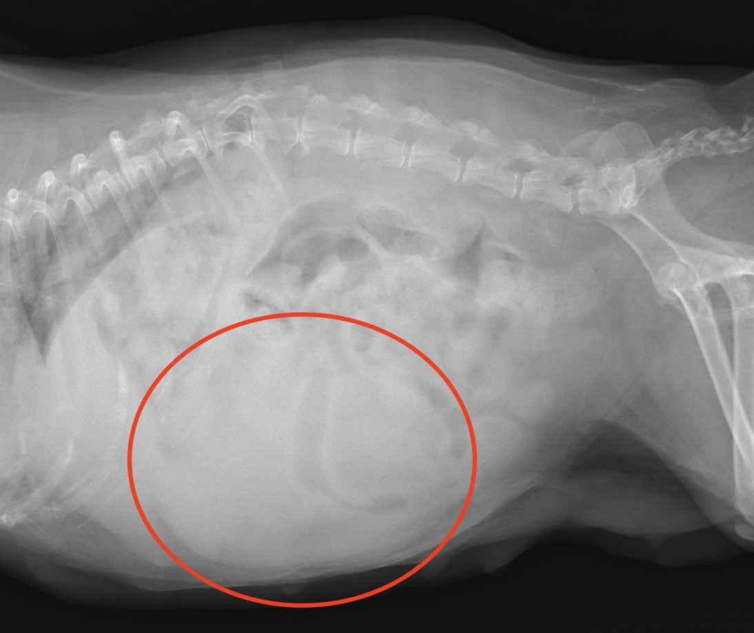
・レントゲン検査:がんの大きさ、遠隔転移(肺など)の評価


肝細胞癌のレントゲン画像(赤丸)
・腹部超音波検査:がんの大きさや広がり、リンパ節転移の評価
・CT検査:がんの大きさや広がり、リンパ節転移、遠隔転移の評価
※CT検査はより綿密な治療方針を決定するうえで必須の検査です

肝細胞癌のCT画像(赤丸)
治療
がんの治療には主に「根治治療(積極的治療)」と「緩和治療」があります。
「根治治療(積極的治療)」とはがんと闘う治療であり、がんをできるだけ体から取り除くことを目的とした治療です。根治治療(積極的治療)は長期生存(一般的には年単位)を目的とした治療であり、がんを治すことができる場合もあります。一方、非常に悪性度の高いがんでは、根治治療(積極的治療)を行ったとしても数カ月程度で亡くなってしまう場合もあります。根治治療(積極的治療)では主に「手術」、「放射線治療」、「抗がん剤治療・分子標的治療」を単独あるいは組み合わせて行います。
一方、「緩和治療」とは、がんによる苦痛を和らげることを目的とした治療です。緩和治療は長期生存を目的とした治療ではなく、たとえ短期間(一般的には月単位)であってもその期間の動物の生活の質を改善するために行う治療です。緩和治療では主に「痛みの治療」、「栄養治療」、「症状を和らげる治療」を単独あるいは組み合わせて行います。
・肝細胞癌の根治治療(積極的治療)
根治治療として手術が適応となります。
手術が困難な場合は、放射線治療が行われる場合もあります。
・肝細胞癌の緩和治療
腫瘍が転移している場合、根治治療は適応となりません。
その場合は、痛みの緩和や腫瘍の進行を遅らせる治療(分子標的治療など)が選択されます。
また、痛みなどで動物の生活の質が落ちるようであれば、転移があったとしても緩和治療として手術が適応となる場合もあります。
当院では、状況に応じて、免疫療法、鎮痛剤などを組み合わせて行うこともあります。
予後
肝細胞癌の場合、1つの肝葉のみに発生していれば、手術をした場合の生存期間中央値は1,460日以上であり、根治が期待できます。一方、手術をしなかった場合の生存期間中央値は270日であり、手術をした場合と比較すると非常に短いです。
複数の肝葉に発生していれば、予後は悪いです。
動物病院の先生方へ
当院は、各専門診療科を備え、幅広い高度医療を提供しております。
貴院からの症例紹介や症例相談も随時受け付けておりますので、お気軽にご相談ください。
詳細は下記のリンクをご参照ください。
https://www.kamogawa-ac.jp/introduction/
飼い主様へ
当院では、獣医腫瘍科認定医による腫瘍科専門外来を行っております。
詳細は下記のリンクをご参照ください。

