犬の門脈体循環シャント(PSS)

病態
門脈体循環シャント(PSS)とは、胃や腸などから集まってきた血管(門脈)が肝臓を介さず、全身の血管(後大静脈や奇静脈など)に直接つながってしまう病気です。
生まれつき起こる先天性と重度の肝疾患により起こる後天性があります。
先天性の門脈体循環シャントはヨークシャー・テリアやマルチーズ、シーズーなどの小型犬に多いですが、その他の犬種でも発生し、多くが2歳までに発生します。
症状
神経症状(痙攣発作や運動失調など)、消化器症状(悪心や下痢など)、泌尿器症状(血尿や頻尿など)が主な症状ですが、症状は簡潔的で気づきにくいこともあり、他の病気の検査の際に偶発的に見つかることもあります。
診断
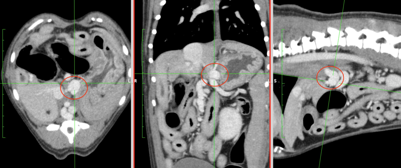
血液検査(アンモニアやTBAが高い)やレントゲン検査(肝臓が小さい)、尿検査(尿酸アンモニウム結晶がみられる)、超音波検査(肝臓が小さい、異常血管がみえる)で疑わしい場合、最終的にはCT検査で診断します。

門脈体循環シャントのCT画像(赤丸がシャント血管)
治療
先天性の場合、門脈体循環シャントを治すためには手術が必要となります。
一方、手術を行わないあるいは手術が適応とならない(高齢や後天性など)場合は肝臓の機能が失われていくため、食事管理やお薬の投与でできる限り肝臓を守ってあげる必要があります。
予後
手術を行なった場合、死亡率は10%程度と考えられており、比較的難しい手術になりますが、手術から術後管理までを乗り越えれば予後は良好です。
手術を行わないあるいは手術が適応とならない場合は、手術を行なった場合と比較すると予後は悪いですが、すぐに生命に関わるわけではなく、食事療法やお薬の投与を適切に行うことで病気の進行をゆっくりしてあげることが可能です。
当院では門脈体循環シャントに関して、十分な説明を行い、治療方針を決定しています。
動物病院の先生方へ
当院は、各専門診療科を備え、幅広い高度医療を提供しております。
貴院からの症例紹介や症例相談も随時受け付けておりますので、お気軽にご相談ください。
詳細は下記のリンクをご参照ください。
https://www.kamogawa-ac.jp/introduction/

