肺高血圧症

病態
心臓、肺、全身循環の模式図です。

肺高血圧症とは、肺動脈(心臓から肺に血液を送る血管)の圧力が持続的に高くなっている病態です。
肺高血圧症の原因には肺血流量の増加(先天性短絡性疾患、貧血など)、肺血管抵抗の増加(フィラリア症、慢性肺実質疾患、肺血栓塞栓症、特発性肺高血圧症、高地など)、肺静脈圧の上昇(心筋症や弁膜症による左心不全など)があります。

症状
軽度では疲れやすくなる程度ですが、重度になると失神、咳、チアノーゼ、皮下浮腫、肝腫大、腹水、頸静脈の怒張が見られることがあります。
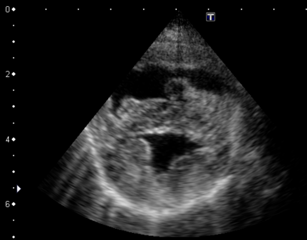
診断
確定診断は右心カテーテル検査による、肺動脈圧の測定が必要ですが、通常は心臓エコー検査で三尖弁(右心房と右心室の間の弁)の逆流速度から、肺動脈圧を推定します。

(モザイク状のカラーになっている部分が、三尖弁の逆流)

(三尖弁の逆流速度の測定)
しかし肺高血圧症でも、三尖弁逆流が発生しない場合はあるので注意が必要です。
また肺動脈と右心室の拡大、心室中隔の扁平化は、肺高血圧症を診断するための補助的所見として重要です。

(上が右心室の拡大、下が左心室)
治療
肺高血圧症を引き起こす基礎疾患(左心不全、短絡性疾患、フィラリア症、肺炎など)の治療を優先します。
これらの治療に加えて、肺動脈を拡張させる薬を使います。

