犬の骨盤腔内腫瘍 膣腫瘍

病態
膣の組織から発生する腫瘍で、そのほとんどが良性です。
犬でみられる膣腫瘍には平滑筋腫、線維腫、ポリープなどがあります。
また、まれに平滑筋肉腫、腺癌、扁平上皮癌などの悪性腫瘍もみられます。
主に中高齢で発生し、避妊をしていない雌で発生しやすい腫瘍です。
症状
外陰部から腫瘍が確認できることがあり、その際は外陰部からの出血がみられることがあります。
一方、骨盤腔内に発生した場合は、直腸や尿道が圧迫され、排尿困難や排便困難などの症状がみられることがあります。
診断
膣腫瘍の多くは良性のため針生検(細い針をさして細胞を採取する検査)では細胞が採取されません。
そのため、最終的には病理組織検査での診断が必要となります。
一方、悪性腫瘍の場合は針生検で細胞が採取され、診断可能な場合もあります。
ステージングおよび併発疾患の確認
膣腫瘍の多くは良性ですが、悪性の可能性もあるため、腫瘍の大きさや広がり、リンパ節転移、遠隔転移の評価を行います。これをステージングといいます。
同時に併発疾患がないかどうかも評価します。
これらの評価には以下の検査を組み合わせて行い、評価を基に治療方針を決定します。
・血液検査:併発疾患(貧血や腎臓病、肝臓病など)の評価
・尿検査:併発疾患(腎臓病など)の評価
・レントゲン検査:腫瘍の大きさ、遠隔転移の評価
・腹部超音波検査:腫瘍の大きさや広がり、リンパ節転移の評価
・CT検査:腫瘍の大きさや広がり、リンパ節転移、遠隔転移の評価
※CT検査はより綿密な治療方針を決定するうえで推奨される検査です

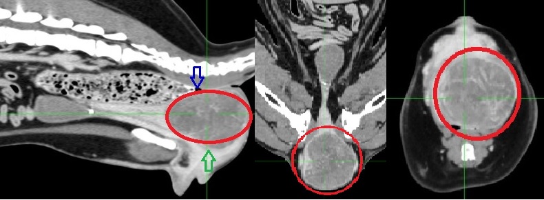
骨盤腔内の膣平滑筋腫のCT画像(赤丸)
腫瘍により直腸(青矢印)と尿道(緑矢印)が圧迫されている
治療
膣腫瘍は手術が適応となります。
腫瘍が外陰部付近にある場合は、外陰部からアプローチし、骨盤腔内にある場合は、お腹からアプローチします。また、同時に避妊手術を行うことで、膣腫瘍の再発を防ぐことができます。
膣腫瘍の多くは良性ですが、病理診断の結果、悪性と診断された場合は状況次第で抗がん剤や分子標的薬などが適応となる場合があります。
予後
膣腫瘍の多くは良性のため、手術で切除できれば治る病気です。
一方、悪性はまれなため、その予後はよくわかっていませんが、予後は比較的悪いと考えられています。
動物病院の先生方へ
当院は、各専門診療科を備え、幅広い高度医療を提供しております。
貴院からの症例紹介や症例相談も随時受け付けておりますので、お気軽にご相談ください。
詳細は下記のリンクをご参照ください。
https://www.kamogawa-ac.jp/introduction/
飼い主様へ
当院では、獣医腫瘍科認定医による腫瘍科専門外来を行っております。
詳細は下記のリンクをご参照ください。

