犬の肛門嚢腺癌

病態
肛門嚢(肛門の右下と左下にひとつずつある)の中にあるアポクリン腺が腫瘍化した悪性腫瘍(がん)で、肛門嚢にできものができた場合、その多くが肛門嚢腺癌です。
発生年齢の平均は9歳~11歳ですが、若齢から高齢まで幅広く発生します。
多くは左右どちらか一つが腫瘍化しますが、まれに二つとも腫瘍化することがあります。
肛門嚢腺癌は診断した時点で約50%以上が転移していると考えられており、最も多いのがお腹の中あるいは骨盤の中のリンパ節転移です(肛門嚢のできものは非常に小さいが、リンパ節が非常に大きくなることもあります)。その他、肺、肝臓、脾臓、骨などの転移も認められます。
また、肛門嚢腺癌は高カルシウム血症を引き起こしやすい(50%以上)癌で、高カルシウム血症の原因を見つける際に、肛門嚢にしこりが見つかる場合もあります。

肛門嚢にできた肛門嚢腺癌
症状
特に症状はなく、健康診断の際やご家族が肛門嚢のできものに気づいて見つかる場合があります。
一方、上述したとおり、肛門嚢のしこりが小さくてもリンパ節に転移していたり、高カルシウム血症がみられることもあり、その場合は排便困難や元気・食欲の低下、多飲多尿などの症状がみられることがあります。
診断
肛門嚢腺癌はできものの針生検(細い針をさして細胞を採取する検査)で診断可能な場合がほとんどです。

針生検で採取された肛門嚢腺癌
ステージングおよび併発疾患の評価
肛門嚢腺癌と診断した場合、がんの大きさや広がり、リンパ節転移、遠隔転移(肺や肝臓、骨などへの転移)の評価を行います。これをステージングといいます。
同時に併発疾患がないかどうかも評価します。
これらの評価には以下の検査を組み合わせて行い、評価を基に治療方針を決定します。
・血液検査:高カルシウム血症の評価、併発疾患(貧血や腎臓病、肝臓病など)の評価
・尿検査:併発疾患(腎臓病など)の評価
・直腸検査:がんの大きさや広がり、骨盤の中のリンパ節の評価
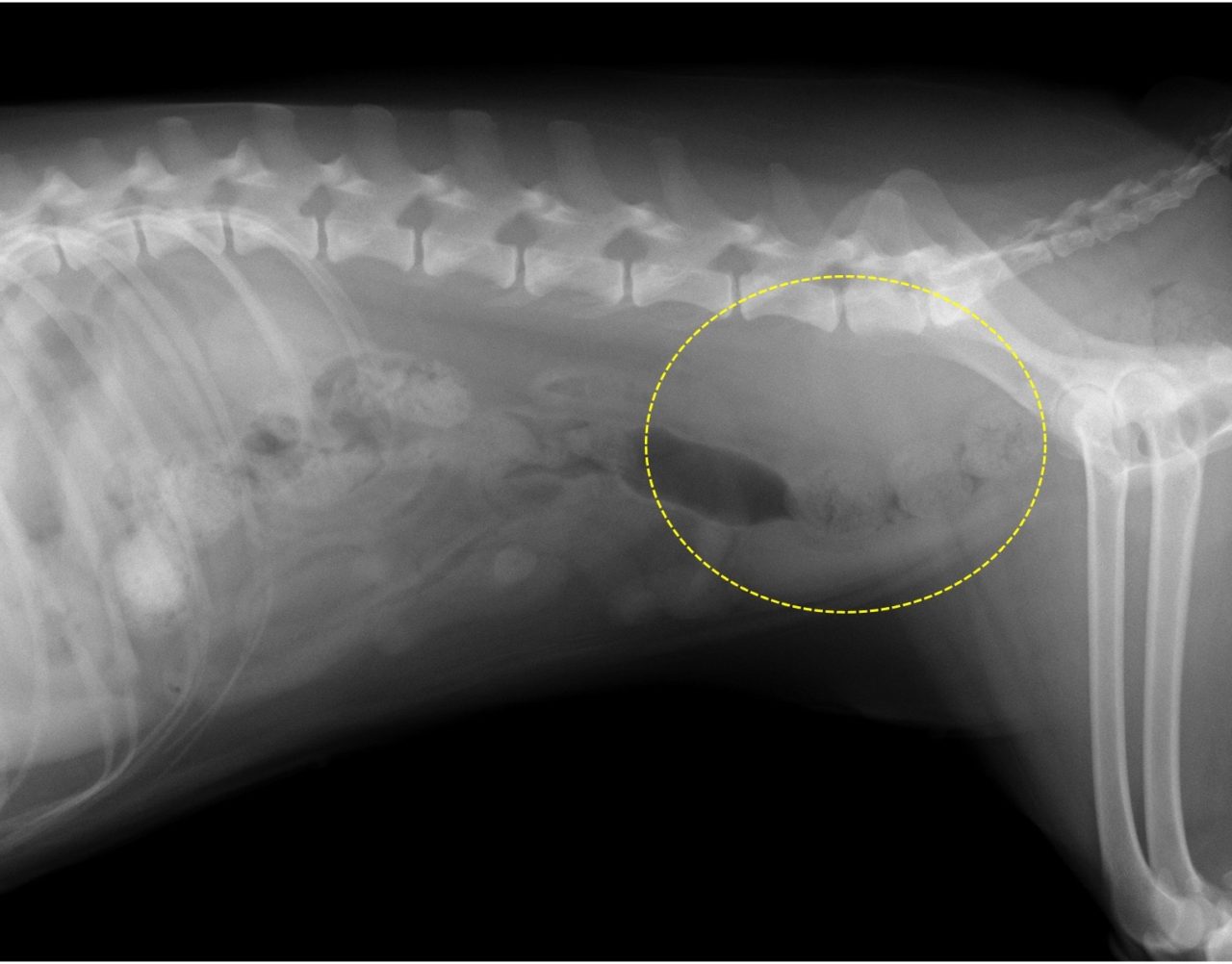
・レントゲン検査:リンパ節転移、遠隔転移の評価

肛門嚢腺癌のリンパ節転移(レントゲン画像)
・超音波検査:リンパ節転移の評価
・CT検査:がんの大きさや広がり、リンパ節転移、遠隔転移の評価
※CT検査はより綿密な治療方針を決定するうえで推奨される検査です

肛門嚢腺癌の原発巣(赤丸)とリンパ節転移(青丸)(CT画像)
犬の肛門嚢腺癌のステージ分類
| ステージ | 腫瘍の大きさ | リンパ節転移 | 遠隔転移 |
| 1 | 2.5cm未満 | なし | なし |
| 2 | 2.5cm以上 | なし | なし |
| 3a | 大きさは問わない | あり(4.5cm未満) | なし |
| 3b | 大きさは問わない | あり(4.5cm以上) | なし |
| 4 | 大きさは問わない | 転移の有無は問わない | あり |
治療
がんの治療には主に「根治治療(積極的治療)」と「緩和治療」があります。
「根治治療(積極的治療)」とはがんと闘う治療であり、がんをできるだけ体から取り除くことを目的とした治療です。根治治療(積極的治療)は長期生存(一般的には年単位)を目的とした治療であり、がんを治すことができる場合もあります。一方、非常に悪性度の高いがんでは、根治治療(積極的治療)を行ったとしても数カ月程度で亡くなってしまう場合もあります。根治治療(積極的治療)では主に「手術」、「放射線治療」、「抗がん剤治療・分子標的治療」を単独あるいは組み合わせて行います。
一方、「緩和治療」とは、がんによる苦痛を和らげることを目的とした治療です。緩和治療は長期生存を目的とした治療ではなく、たとえ短期間(一般的には月単位)であってもその期間の動物の生活の質を改善するために行う治療です。緩和治療では主に「痛みの治療」、「栄養治療」、「症状を和らげる治療」を単独あるいは組み合わせて行います。
・肛門嚢腺癌の根治治療(積極的治療)
根治治療として手術(腫瘍の切除と必要であればリンパ節の切除)が適応となります。
また、手術前後に放射線治療や抗がん剤、分子標的治療、免疫療法などを組み合わせることもあります。
・肛門嚢腺癌の緩和治療
腫瘍がすでに遠隔転移している場合(ステージ4)、根治治療は適応となりません。
その場合は、痛みの緩和や腫瘍の進行を遅らせる治療(抗がん剤や分子標的治療など)が選択されます。
また、痛みなどで動物の生活の質が落ちるようであれば、転移があったとしても緩和治療として手術や放射線治療が適応となる場合もあります。
当院では、状況に応じて、温熱療法やレーザー治療、免疫療法、鎮痛剤、高カルシウム血症の治療などを組み合わせて行うこともあります。
予後
転移がみられない場合(ステージ1、ステージ2)、根治治療を行うことで比較的予後はよく、数年単位の生存が期待できます。
リンパ節転移がある場合(ステージ3)の生存期間中央値は約1年となります。ただし、リンパ節転移がある場合でも、リンパ節切除を行うことで生存期間の延長が期待できます。
一方、遠隔転移がある場合(ステージ4)、予後は悪く1年以内に亡くなってしまう場合が多いです。ただし、遠隔転移がある場合でも、抗がん剤や分子標的治療を行うことで生存期間の延長が期待できます。また、その他の適切な緩和治療を行うことで動物の生活の質を改善させることは可能です。
動物病院の先生方へ
当院は、各専門診療科を備え、幅広い高度医療を提供しております。
貴院からの症例紹介や症例相談も随時受け付けておりますので、お気軽にご相談ください。
詳細は下記のリンクをご参照ください。
https://www.kamogawa-ac.jp/introduction/
飼い主様へ
当院では、獣医腫瘍科認定医による腫瘍科専門外来を行っております。
詳細は下記のリンクをご参照ください。

