腫瘍なら
当院にお任せください
獣医腫瘍科認定医による
腫瘍専門外来
正確な診断の基、高度な手術から緩和治療までご家族と動物にとって最善の治療を提供いたします。
人と同様に動物の死因で最も多いのはがんであり、動物病院でもがんを患った動物は多く来院します。当院ではこれまでがんを患った動物を1000症例以上診察してきました。
がんは診断や治療を一歩間違えてしまうと命を縮めてしまう病気です。
私たちは、治すことができるがんに対しては、ご家族が希望されれば手術・放射線治療(外部と連携)・抗がん剤・免疫療法などを組み合わせ、がんと徹底的に闘います。
一方、適切に診断や治療を行なったとしても治すことのできないがんも多数あります。
そのような状況でも決して匙を投げず、がんで苦しむ動物としっかり向き合い、痛みの管理など最後までできることをご家族と一緒に考えます。
皆様と一緒に暮らしている愛犬・愛猫が万が一がんになってしまった場合の苦しみを減らすことができるよう日々診療を行なっています。
-
京都初の獣医腫瘍科認定医I種・II種が在籍
獣医腫瘍科認定医とは、日本獣医がん学会で年に1回行われる試験に合格することで認定され、Ⅰ種とII種があります。II種は筆記試験があり、腫瘍を診療する上では欠かせない基礎的な知識が問われ、合格率は約10%です。2024年現在全国で約400名がII種に認定されています。Ⅰ種は筆記試験と面接試験があり、より臨床に直結する専門的な知識が問われ、筆記試験の合格率は約20%、面接試験の合格率は約15%です。II種に合格することでⅠ種の筆記試験が受けられ、さらにⅠ種の筆記試験に合格することで面接試験が受けられます。最終この面接試験に合格することでⅠ種に認定されます。2024年現在全国で54名がⅠ種に認定されており、京都で認定医Ⅰ種・II種が在籍している動物病院は当院のみです。


腫瘍科担当獣医師
萩森健二
腫瘍科担当獣医師
伊藤敏生
チーム医療で適切な診断
高度な手術を提供
当院ではがんの診断・治療に特化した腫瘍科認定医による診察を受けることができます。
ただし、腫瘍科認定医のみで適切な診断を下すことができないがんは多数存在します。
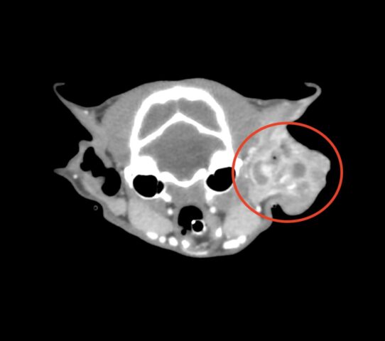
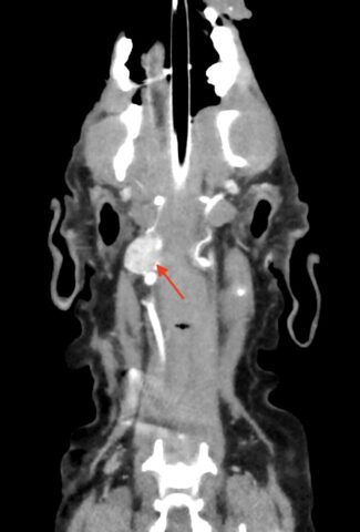
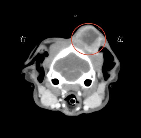
特にCT検査や細胞診検査、病理検査はより専門的な知識が必要です。
当院では、CT検査、細胞診検査、病理検査に特化した各診断医と連携を取り、検査所見を読み取ることで、より適切な診断を下させるよう努めています。
また、当院では特に腫瘍外科に力を入れています。
他院では手術できないと判断されるような高度な手術も多数行っており、より安全に、より動物の苦痛を減らすために麻酔科医と連携して行っています。
術後は必ず入院看護師を配置し、動物の小さな異変にもより早く気づけるよう努めています。
一方で、手術がご家族や動物にとって利益がない場合もあります。
その際は手術以外の治療を積極的に行っており、特に最新の免疫療法も行うことができます。他院で治療が難しいと判断された場合でも諦めずぜひ一度当院にご相談ください。
動物の負担が少ない診断
80列0.5mmスライス!!
当院では約5秒で動物の全体をスキャンするCTがございます。これにより、動物への麻酔の負担を軽減して、撮影が行えます。また、動物の状態が悪い場合には麻酔をかけずに撮影を行うこともあります。撮影したデータは画像診断医“によって”正確な診断を行っております。動物のがんを早期に発見してあげることが何よりも動物に健康でいてもらえることに繋がりますので定期的な健診にも当院へお越しください。
がん治療の4つの特徴
豊富な知識と経験
当院で腫瘍科認定医を有している2名の獣医師は二次診療施設である京都動物医療センターでも腫瘍科を担当しています。そのため、一次診療施設では対応できないようながん患者も対応しており、当院では、豊富な知識と経験を基に二次診療施設と同等の診断・治療を行うことが可能です。
複数の治療プランを提案
教科書に記載されているような最善の治療がご家族にとって最善の治療とは限りません。同じがんでもご家族や動物の置かれている状況は異なるからです。当院では、その状況にあわせた複数の治療プランを提案し、ご家族と一緒に治療方針を決めていきます。
高度な手術
どんなに優秀な外科医でも手術は一人ではできません。当院では、複数の腫瘍科医、麻酔科医と連携し、高度な手術も行っています。また、人のERAS(術後早期回復プログラム)という概念を参考に質の高い術前管理・術後管理を実施しています。
緩和治療
ご家族や動物の状況によっては、手術や抗がん剤などの積極的な治療ができない場合もあります。当院では、その場合でも疼痛管理や栄養管理など、動物の苦痛を減らし、生活の質をあげることができるよう努めています。
-
当院で対応可能ながん(犬)
- 口腔内腫瘍(メラノーマ、扁平上皮癌、棘細胞性エナメル上皮腫、骨肉腫など) 鼻腔内腫瘍(腺癌、肉腫など)
- 前縦隔腫瘍(胸腺腫、リンパ腫など) 心臓腫瘍(血管肉腫、ケモデクトーマなど)
- 肺腫瘍(腺癌、組織球性肉腫など) 食道腫瘍(平滑筋肉腫など)
- 胃腸腫瘍(腺癌、リンパ腫、GISTなど) 肛門腫瘍(肛門周囲腺腫瘍、肛門嚢腺癌など)
- 肝臓腫瘍(肝臓細胞癌、胆管癌など) 脾臓腫瘍(血管肉腫、肉腫など)
- 膵臓腫瘍(インスリノーマ、ガストリノーマ、腺癌など) 腎臓腫瘍(腺癌、血管肉腫など)
- 副腎腫瘍(副腎皮質腺癌、褐色細胞腫など) 膀胱腫瘍(移行上皮癌など)
- 前立腺腫瘍(前立腺癌など) 精巣腫瘍(セミノーマ、セルトリ細胞腫など)
- 卵巣腫瘍(腺癌、顆粒膜細胞腫など) 子宮膣腫瘍(平滑筋肉腫など)乳腺腫瘍(腺癌など)
- 骨腫瘍(骨肉腫など) 甲状腺腫瘍(甲状腺癌など) 上皮小体腫瘍(上皮小体腺腫など)
- 体表腫瘍(肥満細胞腫、軟部組織肉腫、扁平上皮癌など)
- 血液腫瘍(リンパ腫、肥満細胞腫、多発性骨髄腫、組織球性肉腫など)
- これらの腫瘍に対する手術、化学療法、免疫療法、緩和治療を行なっています。
- また、放射線治療に関しては、適切な二次診療施設をご紹介致します。
- その他、稀ながんにも対応しています。
-
当院で対応可能ながん(猫)
- 口腔内腫瘍(扁平上皮癌など) 鼻腔内腫瘍(腺癌、リンパ腫など)
- 前縦隔腫瘍(胸腺腫、リンパ腫など) 肺腫瘍(腺癌など)
- 胃腸腫瘍(腺癌、リンパ腫、GISTなど)
- 肝臓腫瘍(肝臓細胞癌、胆管癌など)脾臓腫瘍(リンパ腫、肥満細胞腫など)
- 膵臓腫瘍(腺癌など) 腎臓腫瘍(腺癌、リンパ腫など)
- 副腎腫瘍(副腎皮質腺癌など) 膀胱腫瘍(移行上皮癌など)
- 乳腺腫瘍(腺癌など)
- 骨腫瘍(骨肉腫など) 甲状腺腫瘍(甲状腺癌など)
- 体表腫瘍(肥満細胞腫、扁平上皮癌、肉腫など)
- 血液腫瘍(リンパ腫、肥満細胞腫、形質細胞腫(骨髄腫関連疾患)など)
- これらの腫瘍に対する手術、化学療法、免疫療法、緩和治療を行なっています。
- また、放射線治療に関しては、適切な二次診療施設をご紹介致します。
- その他、稀ながんにも対応しています。
飼い主様は以下のボタンから
ご予約・お問い合わせください











